Promotional price valid on web orders only. Your contract pricing may differ. Interested in signing up for a dedicated account number?
Learn More

DOK2 (phospho Y299), Rabbit anti-Human, Polyclonal Antibody, Abnova™

Catalog No. 89127489 Shop All Abnova Corporation Products
Change view
Click to view available options
Quantity:
100 μg
1 product options available for selection
Product selection table with 1 available options. Use arrow keys to navigate and Enter or Space to select.
Catalog No. Quantity
89-127-489 100 μg
Use arrow keys to navigate between rows. Press Enter or Space to select a product option. 1 options available.
1 options
Catalog No. 89-127-489 Supplier Abnova Corporation Supplier No. PAB25860
Only null left
Add to Cart
Add to Cart

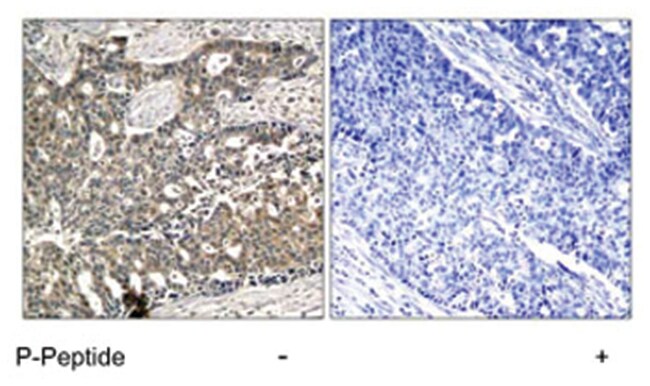
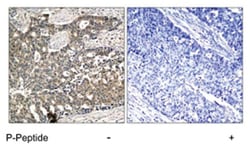
Rabbit polyclonal antibody raised against synthetic phosphopeptide of DOK2.

The protein encoded by this gene is constitutively tyrosine phosphorylated in hematopoietic progenitors isolated from chronic myelogenous leukemia (CML) patients in the chronic phase. It may be a critical substrate for p210(bcr/abl), a chimeric protein whose presence is associated with CML. This encoded protein binds p120 (RasGAP) from CML cells. [provided by RefSeq

Sequence: G-E-Yp-A-V

Specifications

Antigen DOK2
Applications Immunofluorescence, Immunohistochemistry (PFA fixed), Western Blot
Classification Polyclonal
Concentration 1 mg/mL
Conjugate Unconjugated
Description Rabbit polyclonal antibody raised against synthetic phosphopeptide of DOK2.
Dilution Immunohistochemistry (1:50-1:100) Western Blot (1:500-1:1000) Immunofluorescence (1:100-1:200) The optimal working dilution should be determined by the end user.
Formulation In PBS (without mg2+ and Ca2+), 150mM NaCl, pH 7.4 (50% glycerol, 0.02% sodium azide)
Gene DOK2
Gene Accession No. O60496
Gene Alias p56DOK/p56dok-2
Gene Symbols DOK2
Host Species Rabbit
Immunogen Synthetic phosphopeptide corresponding to residues surrounding Y299 of human DOK2.
Purification Method Affinity chromatography
Quantity 100 μg
Regulatory Status RUO
Primary or Secondary Primary
Gene ID (Entrez) 9046
Target Species Human
Content And Storage Store at -20°C.
Aliquot to avoid repeated freezing and thawing.
Form Liquid
Show More Show Less

For Research Use Only

Product Title
Select an issue

By clicking Submit, you acknowledge that you may be contacted by Fisher Scientific in regards to the feedback you have provided in this form. We will not share your information for any other purposes. All contact information provided shall also be maintained in accordance with our Privacy Policy.