Promotional price valid on web orders only. Your contract pricing may differ. Interested in signing up for a dedicated account number?
Learn More

EPS8L3, Rabbit, Polyclonal Antibody, Abnova™

Catalog No. 89119079 Shop All Abnova Corporation Products
Change view
Click to view available options
Quantity:
100 μg
1 product options available for selection
Product selection table with 1 available options. Use arrow keys to navigate and Enter or Space to select.
Catalog No. Quantity
89-119-079 100 μg
Use arrow keys to navigate between rows. Press Enter or Space to select a product option. 1 options available.
1 options
Catalog No. 89-119-079 Supplier Abnova Corporation Supplier No. PAB17420
Only null left
Add to Cart
Add to Cart

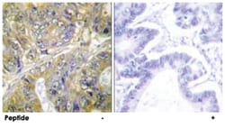
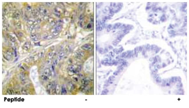
Rabbit polyclonal antibody raised against synthetic peptide of EPS8L3.

This gene encodes a protein that is related to epidermal growth factor receptor pathway substrate 8 (EPS8), a substrate for the epidermal growth factor receptor. The function of this protein is unknown. Alternatively spliced transcript variants encoding different isoforms exist. [provided by RefSeq

Specifications

Antigen EPS8L3
Applications ELISA, Immunofluorescence, Immunohistochemistry (PFA fixed)
Classification Polyclonal
Conjugate Unconjugated
Description Rabbit polyclonal antibody raised against synthetic peptide of EPS8L3.
Dilution Immunohistochemistry (1:50-1:100) Immunofluorescence (1:500-1:1000) ELISA (1:20000) The optimal working dilution should be determined by the end user.
Formulation In PBS, pH 7.4 (150mM NaCl, 0.02% sodium azide, 50% glycerol)
Gene EPS8L3
Gene Accession No. Q8TE67
Gene Alias EPS8R3/FLJ21522/MGC16817
Gene Symbols EPS8L3
Host Species Rabbit
Immunogen A synthetic peptide corresponding to internal of human EPS8L3.
Quantity 100 μg
Regulatory Status RUO
Primary or Secondary Primary
Gene ID (Entrez) 79574
Test Specificity This antibody detects endogenous levels of total EPS8L3 protein.
Target Species Human
Content And Storage Store at -20°C.
Aliquot to avoid repeated freezing and thawing.
Form Liquid
Show More Show Less

For Research Use Only

Product Title
Select an issue

By clicking Submit, you acknowledge that you may be contacted by Fisher Scientific in regards to the feedback you have provided in this form. We will not share your information for any other purposes. All contact information provided shall also be maintained in accordance with our Privacy Policy.