Promotional price valid on web orders only. Your contract pricing may differ. Interested in signing up for a dedicated account number?
Learn More

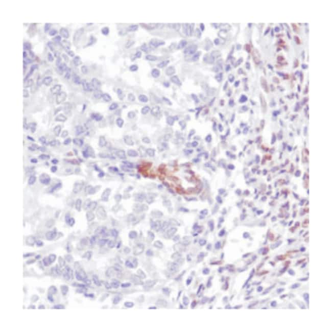
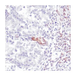
FBXW7, Rabbit, Clone: SP237, Abnova™

Catalog No. 89110333 Shop All Abnova Corporation Products
Change view
Click to view available options
Quantity:
100 μL
1 product options available for selection
Product selection table with 1 available options. Use arrow keys to navigate and Enter or Space to select.
Catalog No. Quantity
89-110-333 100 μL
Use arrow keys to navigate between rows. Press Enter or Space to select a product option. 1 options available.
1 options
Catalog No. 89-110-333 Supplier Abnova Corporation Supplier No. MAB12192

Rabbit monoclonal antibody raised against synthetic peptide of FBXW7.

This gene encodes a member of the F-box protein family which is characterized by an approximately 40 amino acid motif, the F-box. The F-box proteins constitute one of the four subunits of ubiquitin protein ligase complex called SCFs (SKP1-cullin-F-box), which function in phosphorylation-dependent ubiquitination. The F-box proteins are divided into 3 classes: Fbws containing WD-40 domains, Fbls containing leucine-rich repeats, and Fbxs containing either different protein-protein interaction modules or no recognizable motifs. The protein encoded by this gene was previously referred to as FBX30, and belongs to the Fbws class; in addition to an F-box, this protein contains 7 tandem WD40 repeats. This protein binds directly to cyclin E and probably targets cyclin E for ubiquitin-mediated degradation. Mutations in this gene are detected in ovarian and breast cancer cell lines, implicating the gene's potential role in the pathogenesis of human cancers. Three transcript variants encoding three different isoforms have been found for this gene. [provided by RefSeq]

Specifications

Antigen FBXW7
Applications Flow Cytometry, Immunohistochemistry (PFA fixed)
Classification Monoclonal
Clone SP237
Conjugate Unconjugated
Description Rabbit monoclonal antibody raised against synthetic peptide of FBXW7.
Dilution Flow Cytometry (1:400) Immunohistochemistry (Formalin/PFA-fixed paraffin-embedded sections) (1:100) The optimal working dilution should be determined by the end user.
Formulation In 10mM PBS, pH 7.6 (1% BSA, 0.09% sodium azide)
Gene FBXW7
Gene Alias AGO/CDC4/DKFZp686F23254/FBW6/FBW7/FBX30/FBXO30/FBXW6/FLJ16457/SEL-10/SEL10
Gene Symbols FBXW7
Host Species Rabbit
Immunogen A synthetic peptide corresponding to internal region of human FBXW7.
Purification Method Protein A/G purification
Quantity 100 μL
Regulatory Status RUO
Primary or Secondary Primary
Gene ID (Entrez) 55294
Target Species Human
Content And Storage Store at 4°C.
Form Liquid
Isotype IgG
Show More Show Less

For Research Use Only

Product Title
Select an issue

By clicking Submit, you acknowledge that you may be contacted by Fisher Scientific in regards to the feedback you have provided in this form. We will not share your information for any other purposes. All contact information provided shall also be maintained in accordance with our Privacy Policy.