Promotional price valid on web orders only. Your contract pricing may differ. Interested in signing up for a dedicated account number?
Learn More

GABRE, Rabbit, Polyclonal Antibody, Abnova™

Rabbit polyclonal antibody raised against recombinant GABRE.

Supplier:  Abnova Corporation PAB24461

Catalog No. 89-126-178


Only null left
Add to Cart

Description

Description

The product of this gene belongs to the ligand-gated ionic channel (TC 1.A.9) family. It encodes the gamma-aminobutyric acid (GABA) A receptor which is a multisubunit chloride channel that mediates the fastest inhibitory synaptic transmission in the central nervous system. This gene encodes an epsilon subunit. It is mapped to chromosome Xq28 in a cluster comprised of genes encoding alpha 3, beta 4 and theta subunits of the same receptor. Alternatively spliced transcript variants have been identified, but only one is thought to encode a protein. [provided by RefSeq

Sequence: PQTESKNEASSRDVVYGPQPQPLENQLLSEETKSTETETGSRVGKLPEASRILNTILSNYDHKLRPGIGEKPTVVTVEIAVNSLGPL
Specifications

Specifications

GABRE
Polyclonal
Rabbit polyclonal antibody raised against recombinant GABRE.
In PBS, pH 7.5 (40% glycerol, 0.02% sodium azide)
P78334
Rabbit
Antigen affinity purification
RUO
2564
Store at 4°C. For long term storage store at -20°C.
Aliquot to avoid repeated freezing and thawing.
IgG
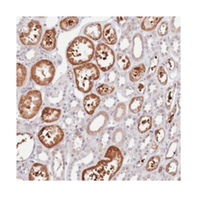
Immunohistochemistry (PFA fixed)
Unconjugated
Immunohistochemistry (1:500-1:1000) The optimal working dilution should be determined by the end user.
GABRE
GABRE
Recombinant protein corresponding to amino acids of human GABRE.
100 μL
Primary
Human
Liquid
Product Suggestions

Product Suggestions

Videos
SDS
Documents

Documents

Product Certifications
Promotions

Promotions

Product Content Correction

Your input is important to us. Please complete this form to provide feedback related to the content on this product.

Product Title

By clicking Submit, you acknowledge that you may be contacted by Fisher Scientific in regards to the feedback you have provided in this form. We will not share your information for any other purposes. All contact information provided shall also be maintained in accordance with our Privacy Policy.

Your feedback has been submitted: Thank you for helping us improve our website.

For Research Use Only