Promotional price valid on web orders only. Your contract pricing may differ. Interested in signing up for a dedicated account number?
Learn More

GPR85 Rabbit anti-Bovine, Chicken, Dog, Hamster, Horse, Human, Monkey, Mouse, Pig, Rabbit, Rat, Zebra fish, Polyclonal Antibody, Abnova™

Rabbit polyclonal antibody raised against synthetic peptide of GPR85.

Supplier:  Abnova Corporation PAB26481

Catalog No. 89-128-121


Only null left
Add to Cart

Description

Description

Members of the G protein-coupled receptor (GPCR) family, such as GPR85, have a similar structure characterized by 7 transmembrane domains. Activation of GPCRs by extracellular stimuli, such as neurotransmitters, hormones, or light, induces an intracellular signaling cascade mediated by heterotrimeric GTP-binding proteins, or G proteins (Matsumoto et al., 2000 [PubMed 10833454]).[supplied by OMIM

Specifications

Specifications

GPR85
Polyclonal
Rabbit polyclonal antibody raised against synthetic peptide of GPR85.
In PBS (0.09% sodium azide)
P60893
GPR85
A synthetic peptide corresponding to 20 amino acids at C-terminus of human GPR85.
50 μg
Primary
BLAST analysis of the peptide immunogen showed no homology with other human proteins, except NLRC3 (40%).
Store at 4°C. For long term storage store at -80°C.
Aliquot to avoid repeated freezing and thawing.
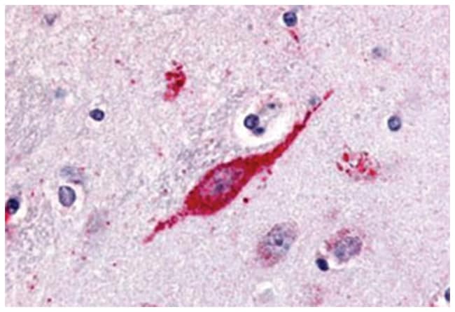
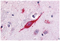
Immunocytochemistry, Immunohistochemistry (PFA fixed)
Unconjugated
Immunohistochemistry (Formalin/PFA-fixed paraffin-embedded sections) (9-17 ug/mL) The optimal working dilution should be determined by the end user.
GPR85
SREB/SREB2
Rabbit
Immunoaffinity chromatography
RUO
54329
Bovine, Canine, Chicken, Equine, Fish, Hamster, Human, Monkey, Mouse, Pig, Rabbit, Rat
Liquid
Product Suggestions

Product Suggestions

Videos
SDS
Documents

Documents

Product Certifications
Promotions

Promotions

Product Content Correction

Your input is important to us. Please complete this form to provide feedback related to the content on this product.

Product Title

By clicking Submit, you acknowledge that you may be contacted by Fisher Scientific in regards to the feedback you have provided in this form. We will not share your information for any other purposes. All contact information provided shall also be maintained in accordance with our Privacy Policy.

Your feedback has been submitted: Thank you for helping us improve our website.

For Research Use Only