Promotional price valid on web orders only. Your contract pricing may differ. Interested in signing up for a dedicated account number?
Learn More

GRLF1, Rabbit, Polyclonal Antibody, Abnova™

Rabbit polyclonal antibody raised against synthetic peptide of GRLF1.

Supplier:  Abnova Corporation PAB17285

Catalog No. 89-118-950


Only null left
Add to Cart

Description

Description

The human glucocorticoid receptor DNA binding factor, which associates with the promoter region of the glucocorticoid receptor gene (hGR gene), is a repressor of glucocorticoid receptor transcription. The amino acid sequence deduced from the cDNA sequences show the presence of three sequence motifs characteristic of a zinc finger and one motif suggestive of a leucine zipper in which 1 cysteine is found instead of all leucines. The GRLF1 enhances the homologous down-regulation of wild-type hGR gene expression. Biochemical analysis suggests that GRLF1 interaction is sequence specific and that transcriptional efficacy of GRLF1 is regulated through its interaction with specific sequence motif. The level of expression is regulated by glucocorticoids. [provided by RefSeq

Specifications

Specifications

GRLF1
Polyclonal
Rabbit polyclonal antibody raised against synthetic peptide of GRLF1.
In PBS, pH 7.4 (150mM NaCl, 0.02% sodium azide, 50% glycerol)
Q9NRY4
GRLF1
A synthetic peptide corresponding to internal of human GRLF1.
RUO
2909
Human, Mouse, Rat
Liquid
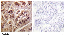
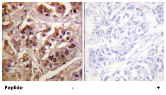
Immunohistochemistry (PFA fixed)
Unconjugated
Immunohistochemistry (1:50-1:100) ELISA (1:40000) The optimal working dilution should be determined by the end user.
GRLF1
GRF-1/KIAA1722/MGC10745/P190-A/P190A/p190RhoGAP
Rabbit
100 μg
Primary
This antibody detects endogenous levels of total GRFL1 protein.
Store at -20°C.
Aliquot to avoid repeated freezing and thawing.
Product Suggestions

Product Suggestions

Videos
SDS
Documents

Documents

Product Certifications
Promotions

Promotions

Product Content Correction

Your input is important to us. Please complete this form to provide feedback related to the content on this product.

Product Title

By clicking Submit, you acknowledge that you may be contacted by Fisher Scientific in regards to the feedback you have provided in this form. We will not share your information for any other purposes. All contact information provided shall also be maintained in accordance with our Privacy Policy.

Your feedback has been submitted: Thank you for helping us improve our website.

For Research Use Only