Promotional price valid on web orders only. Your contract pricing may differ. Interested in signing up for a dedicated account number?
Learn More

GZMB, Rabbit, Polyclonal Antibody, Abnova™

Rabbit polyclonal antibody raised against synthetic peptide of GZMB.

Supplier:  Abnova Corporation PAB11670

Catalog No. 89-115-275


Description

Description

Cytolytic T lymphocytes (CTL) and natural killer (NK) cells share the remarkable ability to recognize, bind, and lyse specific target cells. They are thought to protect their host by lysing cells bearing on their surface 'nonself' antigens, usually peptides or proteins resulting from infection by intracellular pathogens. The protein encoded by this gene is crucial for the rapid induction of target cell apoptosis by CTL in cell-mediated immune response. [provided by RefSeq]

Specifications

Specifications

GZMB
Polyclonal
Unconjugated
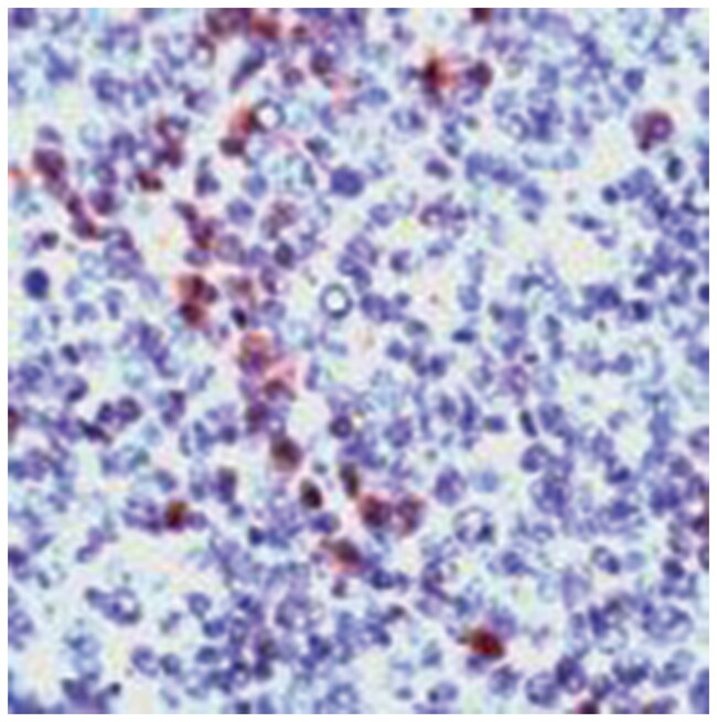
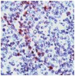
Immunohistochemistry (Formalin/PFA-fixed paraffin-embedded sections) (Formalin/PFA-fixed paraffin-embedded sections) (1:100) The optimal working dilution should be determined by the end user.
GZMB
GZMB
A synthetic peptide corresponding to N-terminus of human GZMB.
100 μL
Primary
Human
Liquid
Immunohistochemistry (PFA fixed)
Lot specific
Rabbit polyclonal antibody raised against synthetic peptide of GZMB.
In 10mM PBS, pH 7.4 (1% BSA, 0.09% sodium azide)
CCPI/CGL-1/CGL1/CSP-B/CSPB/CTLA1/CTSGL1/HLP/SECT
Rabbit
Immunoaffinity purification
RUO
3002
Store at 4°C.
Product Suggestions

Product Suggestions

Videos
SDS
Documents

Documents

Product Certifications
Promotions

Promotions

Product Content Correction

Your input is important to us. Please complete this form to provide feedback related to the content on this product.

Product Title

By clicking Submit, you acknowledge that you may be contacted by Fisher Scientific in regards to the feedback you have provided in this form. We will not share your information for any other purposes. All contact information provided shall also be maintained in accordance with our Privacy Policy.

Your feedback has been submitted: Thank you for helping us improve our website.

For Research Use Only