Promotional price valid on web orders only. Your contract pricing may differ. Interested in signing up for a dedicated account number?
Learn More

HUWE1 Rabbit anti-Human, Polyclonal Antibody, Abnova™

Rabbit polyclonal antibody raised against recombinant HUWE1.

Supplier:  Abnova Corporation PAB28584

Catalog No. 89-130-096


Only null left
Add to Cart

Description

Description

Sequence: SGSSTTRLTQGIGRSQRTLRQLTANTGHTIHVHYPGNRQPNPPLILQRLLGPSAAADILQLSSSLPLQSRGRARLLVGNDDVHIIARSDDELLDDFFHDQSTATSQAGTLSSIPTALTRWTEECKVLDAESMHDCVSVVKVSIVNHLE
Specifications

Specifications

HUWE1
Polyclonal
Rabbit polyclonal antibody raised against recombinant HUWE1.
In PBS, pH 7.2 (40% glycerol, 0.02% sodium azide)
ARF-BP1/HECTH9/HSPC272/Ib772/KIAA0312/LASU1/MULE/UREB1
Rabbit
Antigen affinity purification
RUO
10075
Store at 4°C. For long term storage store at -20°C.
Aliquot to avoid repeated freezing and thawing.
IgG
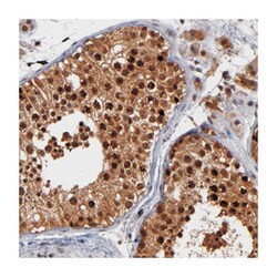
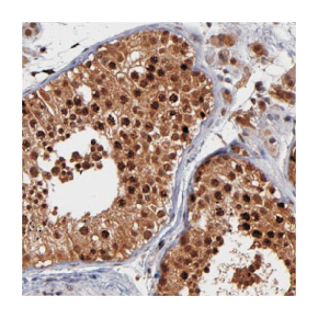
Immunofluorescence, Immunohistochemistry (PFA fixed)
Unconjugated
Immunofluorescence (1-4 ug/ml) Immunohistochemistry (1:50-1:200) The optimal working dilution should be determined by the end user.
HUWE1
HUWE1
Recombinant protein corresponding to amino acids of human HUWE1.
100 μL
Primary
Human
Liquid
Product Suggestions

Product Suggestions

Videos
SDS
Documents

Documents

Product Certifications
Promotions

Promotions

Product Content Correction

Your input is important to us. Please complete this form to provide feedback related to the content on this product.

Product Title

By clicking Submit, you acknowledge that you may be contacted by Fisher Scientific in regards to the feedback you have provided in this form. We will not share your information for any other purposes. All contact information provided shall also be maintained in accordance with our Privacy Policy.

Your feedback has been submitted: Thank you for helping us improve our website.

For Research Use Only