Promotional price valid on web orders only. Your contract pricing may differ. Interested in signing up for a dedicated account number?
Learn More

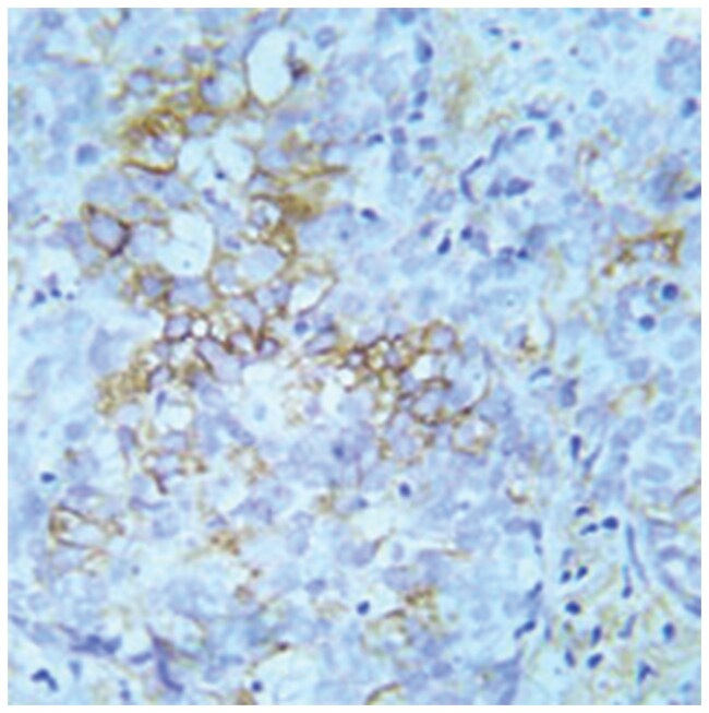
IGF1R (phospho Y980), Rabbit anti-Human, Mouse, Rat, Polyclonal Antibody, Abnova™

Catalog No. 89118773 Shop All Abnova Corporation Products
Change view
Click to view available options
Quantity:
100 μg
1 product options available for selection
Product selection table with 1 available options. Use arrow keys to navigate and Enter or Space to select.
Catalog No. Quantity
89-118-773 100 μg
Use arrow keys to navigate between rows. Press Enter or Space to select a product option. 1 options available.
1 options
Catalog No. 89-118-773 Supplier Abnova Corporation Supplier No. PAB16974
Only null left
Add to Cart
Add to Cart

Rabbit polyclonal antibody raised against synthetic phosphopeptide of IGF1R.

This receptor binds insulin-like growth factor with a high affinity. It has tyrosine kinase activity. The insulin-like growth factor I receptor plays a critical role in transformation events. Cleavage of the precursor generates alpha and beta subunits. It is highly overexpressed in most malignant tissues where it functions as an anti-apoptotic agent by enhancing cell survival. [provided by RefSeq

Specifications

Antigen IGF1R
Applications Immunohistochemistry (PFA fixed)
Classification Polyclonal
Conjugate Unconjugated
Description Rabbit polyclonal antibody raised against synthetic phosphopeptide of IGF1R.
Dilution Immunohistochemistry (1:50-1:100) The optimal working dilution should be determined by the end user.
Formulation In 20mM PBS, 0.15M NaCl, pH 7.2 (0.01% sodium azide)
Gene IGF1R
Gene Alias CD221/IGFIR/JTK13/MGC142170/MGC142172/MGC18216
Gene Symbols IGF1R
Host Species Rabbit
Immunogen Synthetic phosphopeptide corresponding to residues surrounding Y980 of human IGF1R.
Quantity 100 μg
Regulatory Status RUO
Primary or Secondary Primary
Gene ID (Entrez) 3480
Test Specificity This antibody detects endogenous levels of IGF1R only when phosphorylated at tyrosine 980.
Target Species Human, Mouse, Rat
Content And Storage Store at 4°C for three months. For long term storage store at -20°C.
Aliquot to avoid repeated freezing and thawing.
Form Liquid
Show More Show Less

For Research Use Only

Product Title
Select an issue

By clicking Submit, you acknowledge that you may be contacted by Fisher Scientific in regards to the feedback you have provided in this form. We will not share your information for any other purposes. All contact information provided shall also be maintained in accordance with our Privacy Policy.