Promotional price valid on web orders only. Your contract pricing may differ. Interested in signing up for a dedicated account number?
Learn More

IGSF11, Rabbit, Polyclonal Antibody, Abnova™

Rabbit polyclonal antibody raised against recombinant IGSF11.

Supplier:  Abnova Corporation PAB24502

Catalog No. 89-126-220


Only null left
Add to Cart

Description

Description

IGSF11 is an immunoglobulin (Ig) superfamily member that is preferentially expressed in brain and testis. It shares significant homology with coxsackievirus and adenovirus receptor (CXADR; MIM 602621) and endothelial cell-selective adhesion molecule (ESAM).[supplied by OMIM

Sequence: PPKCSSAKAFHTEISSSDNNTLTSSNAYNSRYWSNNPKVHRNTESVSHFSDLGQSFSFHSGNANIPSIYANGTHLVPGQHKTLVVTANRGSSPQVMSRSNGSVSRKP
Specifications

Specifications

IGSF11
Polyclonal
Rabbit polyclonal antibody raised against recombinant IGSF11.
In PBS, pH 7.5 (40% glycerol, 0.02% sodium azide)
BT-IgSF/CXADRL1/Igsf13/MGC35227/VSIG3
Rabbit
Antigen affinity purification
RUO
152404
Store at 4°C. For long term storage store at -20°C.
Aliquot to avoid repeated freezing and thawing.
IgG
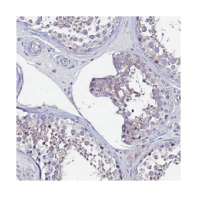
Immunohistochemistry (PFA fixed), Western Blot
Unconjugated
Immunohistochemistry (1:20-1:50) Western Blot (1:250-1:500) The optimal working dilution should be determined by the end user.
IGSF11
IGSF11
Recombinant protein corresponding to amino acids of human IGSF11.
100 μL
Primary
Human
Liquid
Product Suggestions

Product Suggestions

Videos
SDS
Documents

Documents

Product Certifications
Promotions

Promotions

Product Content Correction

Your input is important to us. Please complete this form to provide feedback related to the content on this product.

Product Title

By clicking Submit, you acknowledge that you may be contacted by Fisher Scientific in regards to the feedback you have provided in this form. We will not share your information for any other purposes. All contact information provided shall also be maintained in accordance with our Privacy Policy.

Your feedback has been submitted: Thank you for helping us improve our website.

For Research Use Only