Promotional price valid on web orders only. Your contract pricing may differ. Interested in signing up for a dedicated account number?
Learn More

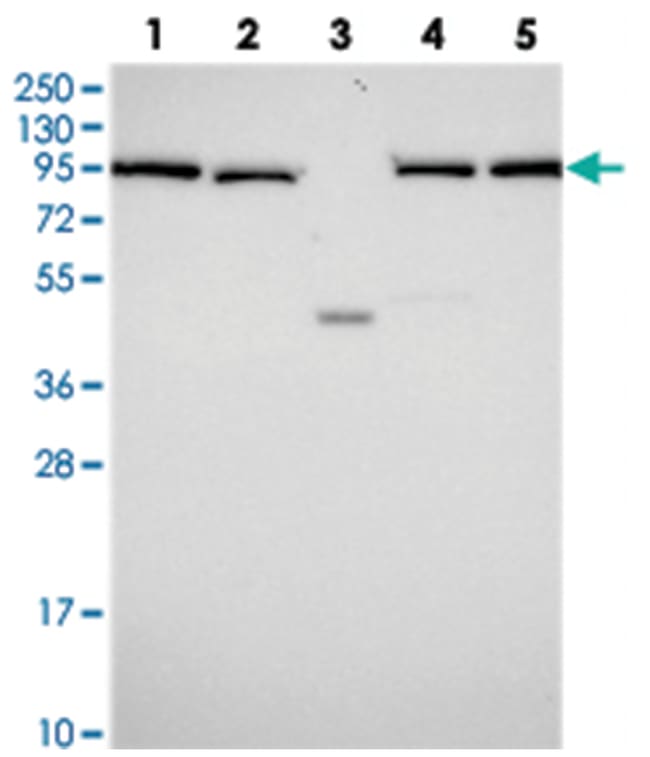
INO80D, Rabbit, Polyclonal Antibody, Abnova™

Rabbit polyclonal antibody raised against recombinant INO80D.

Supplier:  Abnova Corporation PAB24281

Catalog No. 89-125-990


Only null left
Add to Cart

Description

Description

Sequence: KLREVEPAACSGTVKGEQCANKALPFTRHCFQHILLNHSQQLFSSCTAKFADGQQCSVPVFDITHQTPLCEEHAKKMDNFLRGDNSRKVQHQQQ
Specifications

Specifications

INO80D
Polyclonal
Rabbit polyclonal antibody raised against recombinant INO80D.
In PBS, pH 7.5 (40% glycerol, 0.02% sodium azide)
FLJ20309
Rabbit
Antigen affinity purification
RUO
54891
Store at 4°C. For long term storage store at -20°C.
Aliquot to avoid repeated freezing and thawing.
IgG
Immunohistochemistry (PFA fixed), Western Blot
Unconjugated
Immunohistochemistry (1:20-1:50) Western Blot (1:250-1:500) The optimal working dilution should be determined by the end user.
INO80D
INO80D
Recombinant protein corresponding to amino acids of human INO80D.
100 μL
Primary
Human
Liquid
Product Suggestions

Product Suggestions

Videos
SDS
Documents

Documents

Product Certifications
Promotions

Promotions

Product Content Correction

Your input is important to us. Please complete this form to provide feedback related to the content on this product.

Product Title

By clicking Submit, you acknowledge that you may be contacted by Fisher Scientific in regards to the feedback you have provided in this form. We will not share your information for any other purposes. All contact information provided shall also be maintained in accordance with our Privacy Policy.

Your feedback has been submitted: Thank you for helping us improve our website.

For Research Use Only