Promotional price valid on web orders only. Your contract pricing may differ. Interested in signing up for a dedicated account number?
Learn More

IP6K3, Rabbit, Polyclonal Antibody, Abnova™

Catalog No. 89119091 Shop All Abnova Corporation Products
Change view
Click to view available options
Quantity:
100 μg
1 product options available for selection
Product selection table with 1 available options. Use arrow keys to navigate and Enter or Space to select.
Catalog No. Quantity
89-119-091 100 μg
Use arrow keys to navigate between rows. Press Enter or Space to select a product option. 1 options available.
1 options
Catalog No. 89-119-091 Supplier Abnova Corporation Supplier No. PAB17434
Only null left
Add to Cart
Add to Cart

Rabbit polyclonal antibody raised against synthetic peptide of IP6K3.

This gene encodes a protein that belongs to the inositol phosphokinase (IPK) family. This protein is likely responsible for the conversion of inositol hexakisphosphate (InsP6) to diphosphoinositol pentakisphosphate (InsP7/PP-InsP5). It may also convert 1,3,4,5,6-pentakisphosphate (InsP5) to PP-InsP4. Alternative splicing results in multiple transcript variants encoding the same protein

Specifications

Antigen IP6K3
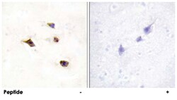
Applications ELISA, Immunohistochemistry (PFA fixed), Western Blot
Classification Polyclonal
Conjugate Unconjugated
Description Rabbit polyclonal antibody raised against synthetic peptide of IP6K3.
Dilution Western Blot (1:500-1:1000) Immunohistochemistry (1:50-1:100) ELISA (1:20000) The optimal working dilution should be determined by the end user.
Formulation In PBS, pH 7.4 (150mM NaCl, 0.02% sodium azide, 50% glycerol)
Gene IP6K3
Gene Alias IHPK3/INSP6K3/MGC102928
Gene Symbols IP6K3
Host Species Rabbit
Immunogen A synthetic peptide corresponding to internal of human IP6K3.
Quantity 100 μg
Regulatory Status RUO
Primary or Secondary Primary
Gene ID (Entrez) 117283
Test Specificity This antibody detects endogenous levels of total IP6K3 protein.
Target Species Human, Mouse
Content And Storage Store at -20°C.
Aliquot to avoid repeated freezing and thawing.
Form Liquid
Show More Show Less

For Research Use Only

Product Title
Select an issue

By clicking Submit, you acknowledge that you may be contacted by Fisher Scientific in regards to the feedback you have provided in this form. We will not share your information for any other purposes. All contact information provided shall also be maintained in accordance with our Privacy Policy.