Promotional price valid on web orders only. Your contract pricing may differ. Interested in signing up for a dedicated account number?
Learn More

ITGB4 (phospho Y1510), Rabbit anti-Human, Mouse, Rat, Polyclonal Antibody, Abnova™

Rabbit polyclonal antibody raised against synthetic phosphopeptide of human ITGB4.

Supplier:  Abnova Corporation PAB29281

Catalog No. 89-130-718


Only null left
Add to Cart

Description

Description

Integrins are heterodimers comprised of alpha and beta subunits, that are noncovalently associated transmembrane glycoprotein receptors. Different combinations of alpha and beta polypeptides form complexes that vary in their ligand-binding specificities. Integrins mediate cell-matrix or cell-cell adhesion, and transduced signals that regulate gene expression and cell growth. This gene encodes the integrin beta 4 subunit, a receptor for the laminins. This subunit tends to associate with alpha 6 subunit and is likely to play a pivotal role in the biology of invasive carcinoma. Mutations in this gene are associated with epidermolysis bullosa with pyloric atresia. Multiple alternatively spliced transcript variants encoding distinct isoforms have been found for this gene. [provided by RefSeq

Specifications

Specifications

ITGB4
Polyclonal
Rabbit polyclonal antibody raised against synthetic phosphopeptide of human ITGB4.
In PBS (without Mg2+ and Ca2+), 150mM NaCl, pH 7.4 (50% glycerol, 0.02% sodium azide)
CD104
Rabbit
Affinity Chromatography
RUO
3691
Human, Mouse, Rat
Liquid
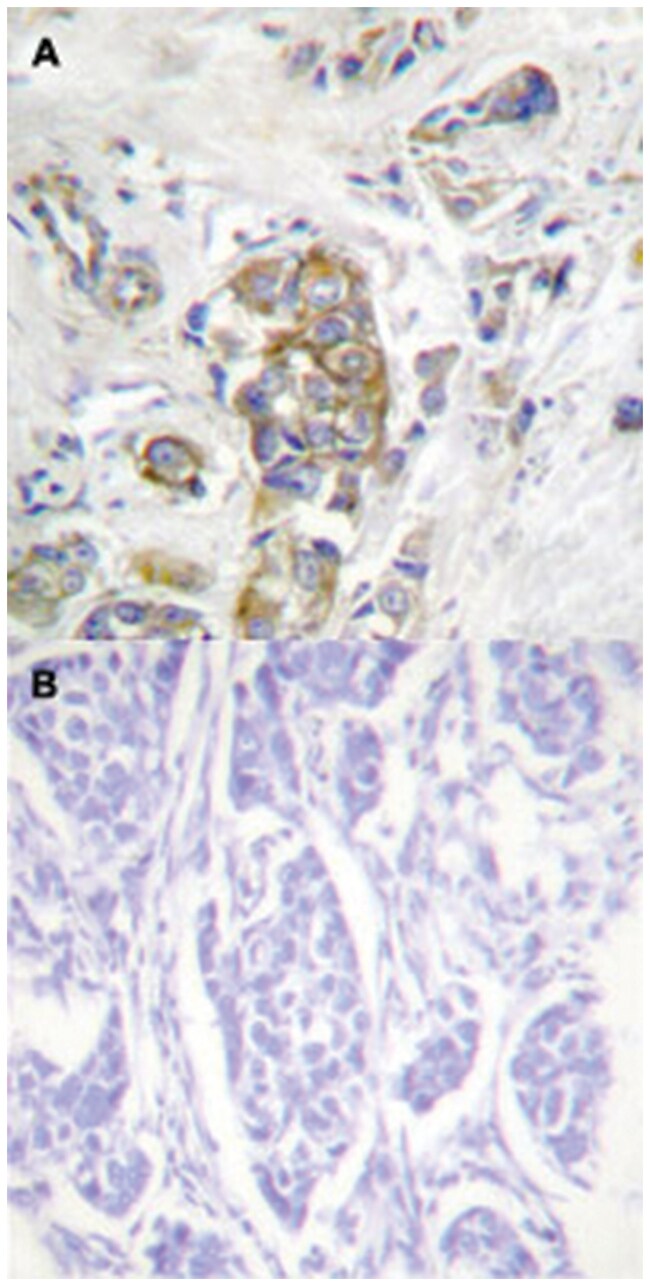
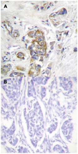
Immunohistochemistry (PFA fixed), Western Blot
Unconjugated
Immunohistochemistry (1:50∼1:100) Western Blot (1:500∼1:1000) The optimal working dilution should be determined by the end user.
ITGB4
ITGB4
Synthetic phosphopeptide (conjugated with KLH) corresponding to residues surrounding Y1510 of human ITGB4.
100 μL
Primary
ITGB4 (phospho Y1510) polyclonal antibody detects endogenous levels of human ITGB4 only when phosphorylated at tyrosine 1510.
Store at -20°C.
Aliquot to avoid repeated freezing and thawing.
Product Suggestions

Product Suggestions

Videos
SDS
Documents

Documents

Product Certifications
Promotions

Promotions

Product Content Correction

Your input is important to us. Please complete this form to provide feedback related to the content on this product.

Product Title

By clicking Submit, you acknowledge that you may be contacted by Fisher Scientific in regards to the feedback you have provided in this form. We will not share your information for any other purposes. All contact information provided shall also be maintained in accordance with our Privacy Policy.

Your feedback has been submitted: Thank you for helping us improve our website.

For Research Use Only