Promotional price valid on web orders only. Your contract pricing may differ. Interested in signing up for a dedicated account number?
Learn More

JUN (phospho T239), Rabbit anti-Human, Mouse, Rat, Polyclonal Antibody, Abnova™

Catalog No. 89126913 Shop All Abnova Corporation Products
Change view
Click to view available options
Quantity:
100 μg
1 product options available for selection
Product selection table with 1 available options. Use arrow keys to navigate and Enter or Space to select.
Catalog No. Quantity
89-126-913 100 μg
Use arrow keys to navigate between rows. Press Enter or Space to select a product option. 1 options available.
1 options
Catalog No. 89-126-913 Supplier Abnova Corporation Supplier No. PAB25245
Only null left
Add to Cart
Add to Cart

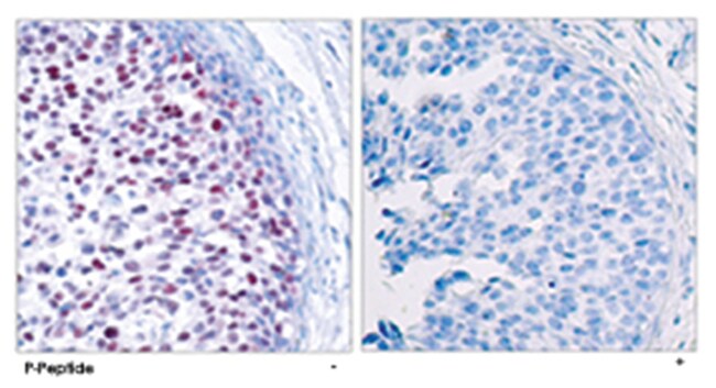
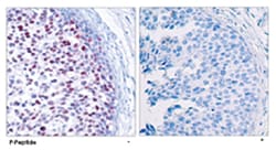
Rabbit polyclonal antibody raised against synthetic phosphopeptide of JUN.

This gene is the putative transforming gene of avian sarcoma virus 17. It encodes a protein which is highly similar to the viral protein, and which interacts directly with specific target DNA sequences to regulate gene expression. This gene is intronless and is mapped to 1p32-p31, a chromosomal region involved in both translocations and deletions in human malignancies. [provided by RefSeq

Sequence: G-E-Tp-P-P

Specifications

Antigen JUN
Applications Immunofluorescence, Immunohistochemistry (PFA fixed), Western Blot
Classification Polyclonal
Concentration 1 mg/mL
Conjugate Unconjugated
Description Rabbit polyclonal antibody raised against synthetic phosphopeptide of JUN.
Dilution Immunohistochemistry (1:50-1:100) Western Blot (1:500-1:1000) Immunofluorescence (1:100-1:200) The optimal working dilution should be determined by the end user.
Formulation In PBS (without Mg2+ and Ca2+), 150mM NaCl, pH 7.4 (50% glycerol, 0.02% sodium azide)
Gene JUN
Gene Alias AP-1/AP1/c-Jun
Gene Symbols JUN
Host Species Rabbit
Immunogen Synthetic phosphopeptide corresponding to residues surrounding T239 of human JUN.
Purification Method Affinity chromatography
Quantity 100 μg
Regulatory Status RUO
Primary or Secondary Primary
Gene ID (Entrez) 3725
Target Species Human, Mouse, Rat
Content And Storage Store at -20°C.
Aliquot to avoid repeated freezing and thawing.
Form Liquid
Show More Show Less

For Research Use Only

Product Title
Select an issue

By clicking Submit, you acknowledge that you may be contacted by Fisher Scientific in regards to the feedback you have provided in this form. We will not share your information for any other purposes. All contact information provided shall also be maintained in accordance with our Privacy Policy.