Promotional price valid on web orders only. Your contract pricing may differ. Interested in signing up for a dedicated account number?
Learn More

JUNB Rabbit anti-Human, Mouse, Rat, Polyclonal Antibody, Abnova™

Catalog No. 89127574 Shop All Abnova Corporation Products
Change view
Click to view available options
Quantity:
100 μg
1 product options available for selection
Product selection table with 1 available options. Use arrow keys to navigate and Enter or Space to select.
Catalog No. Quantity
89-127-574 100 μg
Use arrow keys to navigate between rows. Press Enter or Space to select a product option. 1 options available.
1 options
Catalog No. 89-127-574 Supplier Abnova Corporation Supplier No. PAB25942
Only null left
Add to Cart
Add to Cart

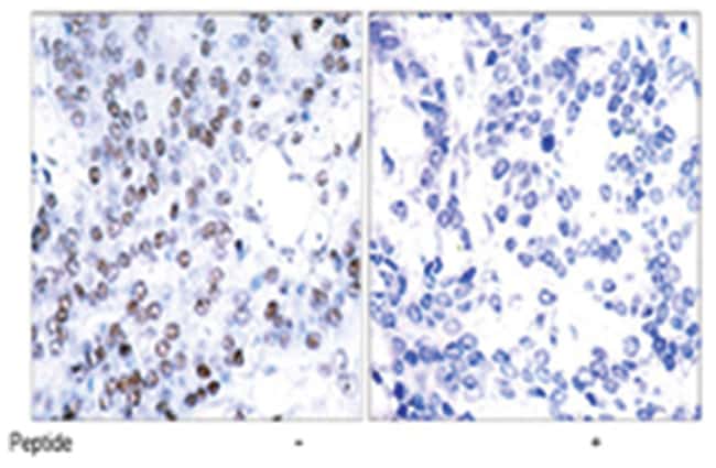
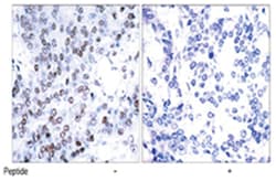
Rabbit polyclonal antibody raised against synthetic peptide of JUNB.

Sequence: G-A-Sp-L-K

Specifications

Antigen JUNB
Applications Immunofluorescence, Immunohistochemistry (PFA fixed)
Classification Polyclonal
Concentration 1 mg/mL
Conjugate Unconjugated
Description Rabbit polyclonal antibody raised against synthetic peptide of JUNB.
Dilution Immunohistochemistry (1:50-1:100) Immunofluorescence (1:100-1:200) The optimal working dilution should be determined by the end user.
Formulation In PBS, 150mM NaCl, pH 7.4 (50% glycerol, 0.02% sodium azide)
Gene JUNB
Gene Alias AP-1
Gene Symbols JUNB
Host Species Rabbit
Immunogen A synthetic peptide corresponding to residues surrounding S79 of human JUNB.
Purification Method Affinity chromatography
Quantity 100 μg
Regulatory Status RUO
Primary or Secondary Primary
Gene ID (Entrez) 3726
Target Species Human, Mouse, Rat
Content And Storage Store at -20°C.
Aliquot to avoid repeated freezing and thawing.
Form Liquid
Show More Show Less

For Research Use Only

Product Title
Select an issue

By clicking Submit, you acknowledge that you may be contacted by Fisher Scientific in regards to the feedback you have provided in this form. We will not share your information for any other purposes. All contact information provided shall also be maintained in accordance with our Privacy Policy.