Promotional price valid on web orders only. Your contract pricing may differ. Interested in signing up for a dedicated account number?
Learn More

MIB1, Rabbit, Polyclonal Antibody, Abnova™

Rabbit polyclonal antibody raised against synthetic peptide of MIB1.

Supplier:  Abnova Corporation PAB1726

Catalog No. 89-118-925


Only null left
Add to Cart

Description

Description

Specifications

Specifications

MIB1
Polyclonal
Rabbit polyclonal antibody raised against synthetic peptide of MIB1.
In PBS (0.09% sodium azide)
DIP-1/DKFZp686I0769/DKFZp761M1710/FLJ90676/MGC129659/MGC129660/MIB/ZZANK2/ZZZ6
Rabbit
Protein G purification
RUO
57534
Store at 4°C. For long term storage store at -20°C.
Aliquot to avoid repeated freezing and thawing.
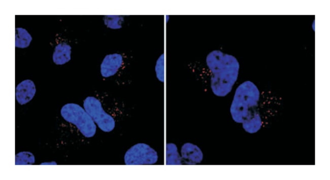
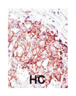
ELISA, Immunofluorescence, Immunohistochemistry, Western Blot
Unconjugated
Western Blot (1:1000) Immunohistochemistry (1:50-100) Immunofluorescence (1:20-100) The optimal working dilution should be determined by the end user.
MIB1
MIB1
A synthetic peptide (conjugated with KLH) corresponding to N-terminus of human MIB1.
400 μL
Primary
Human
Liquid
Product Suggestions

Product Suggestions

Videos
SDS
Documents

Documents

Product Certifications
Promotions

Promotions

Product Content Correction

Your input is important to us. Please complete this form to provide feedback related to the content on this product.

Product Title

By clicking Submit, you acknowledge that you may be contacted by Fisher Scientific in regards to the feedback you have provided in this form. We will not share your information for any other purposes. All contact information provided shall also be maintained in accordance with our Privacy Policy.

Your feedback has been submitted: Thank you for helping us improve our website.

For Research Use Only