Promotional price valid on web orders only. Your contract pricing may differ. Interested in signing up for a dedicated account number?
Learn More

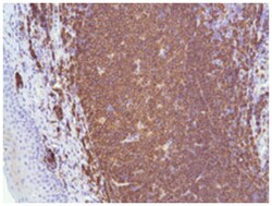
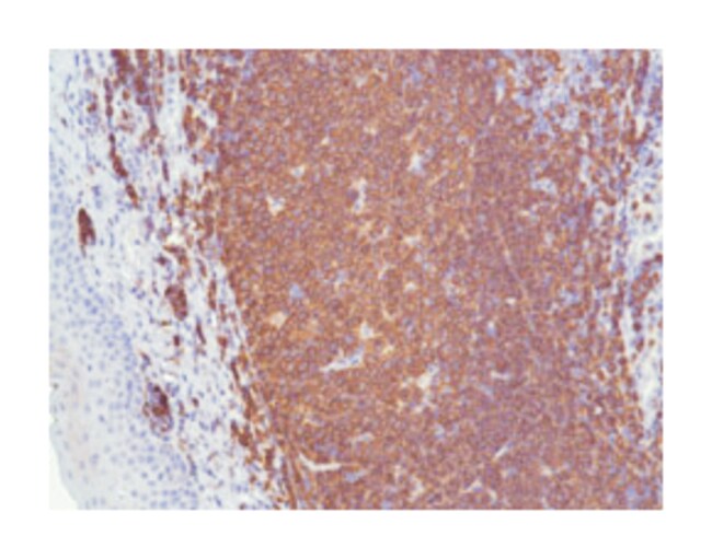
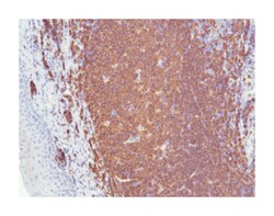
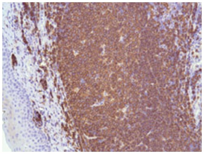
MS4A1, Rabbit, Clone: SP32, Abnova™

Catalog No. 89112233 Shop All Abnova Corporation Products
Change view
Click to view available options
Quantity:
100 μL
1 product options available for selection
Product selection table with 1 available options. Use arrow keys to navigate and Enter or Space to select.
Catalog No. Quantity
89-112-233 100 μL
Use arrow keys to navigate between rows. Press Enter or Space to select a product option. 1 options available.
1 options
Catalog No. 89-112-233 Supplier Abnova Corporation Supplier No. MAB5373

Rabbit monoclonal antibody raised against synthetic peptide of MS4A1.

This gene encodes a member of the membrane-spanning 4A gene family. Members of this nascent protein family are characterized by common structural features and similar intron/exon splice boundaries and display unique expression patterns among hematopoietic cells and nonlymphoid tissues. This gene encodes a B-lymphocyte surface molecule which plays a role in the development and differentiation of B-cells into plasma cells. This family member is localized to 11q12, among a cluster of family members. Alternative splicing of this gene results in two transcript variants which encode the same protein. [provided by RefSeq

Specifications

Antigen MS4A1
Applications Flow Cytometry, Immunohistochemistry (Paraffin)
Classification Monoclonal
Clone SP32
Conjugate Unconjugated
Description Rabbit monoclonal antibody raised against synthetic peptide of MS4A1.
Dilution Immunohistochemistry (Formalin/PFA-fixed paraffin-embedded sections) (1:100) Flow Cytometry (1:100) The optimal working dilution should be determined by the end user.
Formulation In PBS, pH 7.6 (1% BSA, 0.09% sodium azide).
Gene MS4A1
Gene Alias B1/Bp35/CD20/LEU-16/MGC3969/MS4A2/S7
Gene Symbols MS4A1
Host Species Rabbit
Immunogen A synthetic peptide corresponding to C-terminus of human MS4A1.
Purification Method Protein A/G purification
Quantity 100 μL
Regulatory Status RUO
Primary or Secondary Primary
Gene ID (Entrez) 931
Target Species Human
Content And Storage Store at 4°C. Do not freeze.
Form Liquid
Isotype IgG
Show More Show Less

For Research Use Only

Product Title
Select an issue

By clicking Submit, you acknowledge that you may be contacted by Fisher Scientific in regards to the feedback you have provided in this form. We will not share your information for any other purposes. All contact information provided shall also be maintained in accordance with our Privacy Policy.