Promotional price valid on web orders only. Your contract pricing may differ. Interested in signing up for a dedicated account number?
Learn More

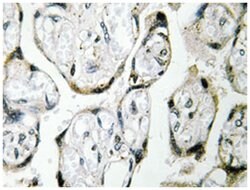
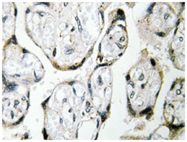
ND1, Rabbit, Polyclonal Antibody, Abnova™

Rabbit polyclonal antibody raised against synthetic peptide of ND1.

Supplier:  Abnova Corporation PAB25137

Catalog No. 89-126-811


Only null left
Add to Cart

Description

Description

Specifications

Specifications

ND1
Polyclonal
Rabbit polyclonal antibody raised against synthetic peptide of ND1.
In PBS, pH 7.2 (0.09% sodium azide)
MTND1
Rabbit
Affinity purification
RUO
4535
Human
Liquid
Immunohistochemistry (PFA fixed), Western Blot
Unconjugated
Western Blot (1:500-1:1000) Immunohistochemistry (1:50-1:200) The optimal working dilution should be determined by the end user.
ND1
ND1
A synthetic peptide corresponding to ND1.
100 μL
Primary
ND1 polyclonal antibody detects endogenous levels of ND1 protein.
Store at 4°C. For long term storage store at -20°C.
Aliquot to avoid repeated freezing and thawing.
Product Suggestions

Product Suggestions

Videos
SDS
Documents

Documents

Product Certifications
Promotions

Promotions

Product Content Correction

Your input is important to us. Please complete this form to provide feedback related to the content on this product.

Product Title

By clicking Submit, you acknowledge that you may be contacted by Fisher Scientific in regards to the feedback you have provided in this form. We will not share your information for any other purposes. All contact information provided shall also be maintained in accordance with our Privacy Policy.

Your feedback has been submitted: Thank you for helping us improve our website.

For Research Use Only