Promotional price valid on web orders only. Your contract pricing may differ. Interested in signing up for a dedicated account number?
Learn More

NME7, Rabbit, Polyclonal Antibody, Abnova™

Rabbit polyclonal antibody raised against synthetic peptide of NME7.

Supplier:  Abnova Corporation PAB3294

Catalog No. 89-130-937


Only null left
Add to Cart

Description

Description

Specifications

Specifications

NME7
Polyclonal
Rabbit polyclonal antibody raised against synthetic peptide of NME7.
In PBS (0.09% sodium azide)
FLJ37194/nm23-H7
Rabbit
Protein G purification
RUO
29922
Store at 4°C. For long term storage store at -20°C.
Aliquot to avoid repeated freezing and thawing.
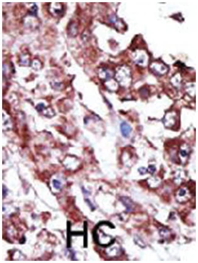
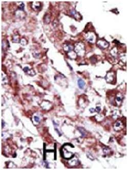
ELISA, Immunohistochemistry, Western Blot
Unconjugated
Immunohistochemistry (Formalin/PFA-fixed paraffin-embedded sections) (1:50-100) Western Blot (1:1000) The optimal working dilution should be determined by the end user.
NME7
NME7
A synthetic peptide (conjugated with KLH) corresponding to N-terminus of human NME7.
400 μL
Primary
Human
Liquid
Product Suggestions

Product Suggestions

Videos
SDS
Documents

Documents

Product Certifications
Promotions

Promotions

Product Content Correction

Your input is important to us. Please complete this form to provide feedback related to the content on this product.

Product Title

By clicking Submit, you acknowledge that you may be contacted by Fisher Scientific in regards to the feedback you have provided in this form. We will not share your information for any other purposes. All contact information provided shall also be maintained in accordance with our Privacy Policy.

Your feedback has been submitted: Thank you for helping us improve our website.

For Research Use Only