Promotional price valid on web orders only. Your contract pricing may differ. Interested in signing up for a dedicated account number?
Learn More

PLD1, Rabbit, Polyclonal Antibody, Abnova™

Rabbit polyclonal antibody raised against synthetic peptide of PLD1.

Supplier:  Abnova Corporation PAB18260

Catalog No. 89-119-830


Only null left
Add to Cart

Description

Description

Phosphatidylcholine (PC)-specific phospholipases D (PLDs; EC 3.1.4.4) catalyze the hydrolysis of PC to produce phosphatidic acid and choline. A range of agonists acting through G protein-coupled receptors and receptor tyrosine kinases stimulate this hydrolysis. PC-specific PLD activity has been implicated in numerous cellular pathways, including signal transduction, membrane trafficking, and the regulation of mitosis (Hammond et al., 1995 [PubMed 8530346]).[supplied by OMIM

Specifications

Specifications

PLD1
Polyclonal
Unconjugated
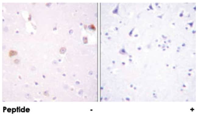
Immunohistochemistry (1:50-1:100) ELISA (1:5000) The optimal working dilution should be determined by the end user.
PLD1
Rabbit
Affinity purification
RUO
5337
Human, Mouse, Rat
Liquid
ELISA, Immunohistochemistry (PFA fixed)
1 mg/mL
Rabbit polyclonal antibody raised against synthetic peptide of PLD1.
In PBS, 150mM NaCl, pH 7.4 (50% glycerol, 0.02% sodium azide)
PLD1
A synthetic peptide corresponding to human PLD1.
100 μg
Primary
This antibody is specific to PLD1.
Store at -20°C.
Aliquot to avoid repeated freezing and thawing.
Product Suggestions

Product Suggestions

Videos
SDS
Documents

Documents

Product Certifications
Promotions

Promotions

Product Content Correction

Your input is important to us. Please complete this form to provide feedback related to the content on this product.

Product Title

By clicking Submit, you acknowledge that you may be contacted by Fisher Scientific in regards to the feedback you have provided in this form. We will not share your information for any other purposes. All contact information provided shall also be maintained in accordance with our Privacy Policy.

Your feedback has been submitted: Thank you for helping us improve our website.

For Research Use Only