Promotional price valid on web orders only. Your contract pricing may differ. Interested in signing up for a dedicated account number?
Learn More

PRKCZ Rabbit anti-Human, Mouse, Rat, Polyclonal Antibody, Abnova™

Rabbit polyclonal antibody raised against synthetic peptide of PRKCZ.

Supplier:  Abnova Corporation PAB18283

Catalog No. 89-119-851


Only null left
Add to Cart

Description

Description

Protein kinase C (PKC) zeta is a member of the PKC family of serine/threonine kinases which are involved in a variety of cellular processes such as proliferation, differentiation and secretion. Unlike the classical PKC isoenzymes which are calcium-dependent, PKC zeta exhibits a kinase activity which is independent of calcium and diacylglycerol but not of phosphatidylserine. Furthermore, it is insensitive to typical PKC inhibitors and cannot be activated by phorbol ester. Unlike the classical PKC isoenzymes, it has only a single zinc finger module. These structural and biochemical properties indicate that the zeta subspecies is related to, but distinct from other isoenzymes of PKC. Alternative splicing results in multiple transcript variants encoding different isoforms. [provided by RefSeq

Specifications

Specifications

PRKCZ
Polyclonal
Unconjugated
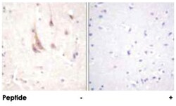
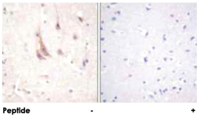
Western Blot (1:500-1:1000) Immunohistochemistry (1:50-1:100) Immunofluorescence (1:500-1:1000) ELISA (1:5000) The optimal working dilution should be determined by the end user.
PRKCZ
PRKCZ
A synthetic peptide corresponding to residues surrounding T560 of human PRKCZ.
100 μg
Primary
This antibody is specific to PRKCZ.
Store at -20°C.
Aliquot to avoid repeated freezing and thawing.
ELISA, Immunofluorescence, Immunohistochemistry (PFA fixed), Western Blot
1 mg/mL
Rabbit polyclonal antibody raised against synthetic peptide of PRKCZ.
In PBS, 150mM NaCl, pH 7.4 (50% glycerol, 0.02% sodium azide)
PKC-ZETA/PKC2
Rabbit
Affinity purification
RUO
5590
Human, Mouse, Rat
Liquid
Product Suggestions

Product Suggestions

Videos
SDS
Documents

Documents

Product Certifications
Promotions

Promotions

Product Content Correction

Your input is important to us. Please complete this form to provide feedback related to the content on this product.

Product Title

By clicking Submit, you acknowledge that you may be contacted by Fisher Scientific in regards to the feedback you have provided in this form. We will not share your information for any other purposes. All contact information provided shall also be maintained in accordance with our Privacy Policy.

Your feedback has been submitted: Thank you for helping us improve our website.

For Research Use Only