Promotional price valid on web orders only. Your contract pricing may differ. Interested in signing up for a dedicated account number?
Learn More

PRR5, Rabbit, Polyclonal Antibody, Abnova™

Rabbit polyclonal antibody raised against synthetic peptide of PRR5.

Supplier:  Abnova Corporation PAB19427

Catalog No. 89-120-962


Only null left
Add to Cart

Description

Description

This gene encodes a protein with a proline-rich domain. This gene is located in a region of chromosome 22 reported to contain a tumor suppressor gene that may be involved in breast and colorectal tumorigenesis. Rare read-through transcripts, containing exons from the ARHGAP8 gene which is located immediately downstream, led to the original description of PRR5 and ARHGAP8 as a single gene. Alternative splicing and the use of alternative promoters results in transcripts encoding different isoforms. [provided by RefSeq

Specifications

Specifications

PRR5
Polyclonal
Unconjugated
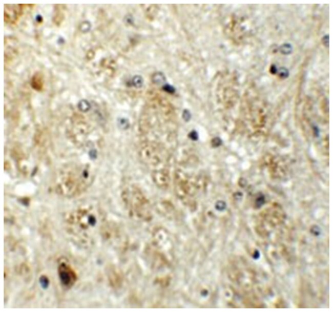
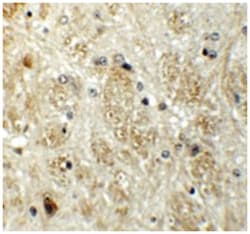
Western Blot (1 ug/mL) Immunohistochemistry (5 ug/mL) The optimal working dilution should be determined by the end user.
PRR5
PRR5
A synthetic peptide corresponding to 20 amino acids near C-terminus of human PRR5.
100 μg
Primary
PRR5 antibody is predicted to not cross-react with other Protor protein family members.
Store at 4°C for three months. For long term storage store at -20°C.
Aliquot to avoid repeated freezing and thawing.
ELISA, Immunohistochemistry, Western Blot
1 mg/mL
Rabbit polyclonal antibody raised against synthetic peptide of PRR5.
In PBS (0.02% sodium azide)
ARHGAP8/FLJ20185/PP610/PROTOR1
Rabbit
Peptide affinity purification
RUO
55615
Human, Mouse, Rat
Liquid
Product Suggestions

Product Suggestions

Videos
SDS
Documents

Documents

Product Certifications
Promotions

Promotions

Product Content Correction

Your input is important to us. Please complete this form to provide feedback related to the content on this product.

Product Title

By clicking Submit, you acknowledge that you may be contacted by Fisher Scientific in regards to the feedback you have provided in this form. We will not share your information for any other purposes. All contact information provided shall also be maintained in accordance with our Privacy Policy.

Your feedback has been submitted: Thank you for helping us improve our website.

For Research Use Only