Promotional price valid on web orders only. Your contract pricing may differ. Interested in signing up for a dedicated account number?
Learn More

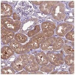
SCRT1, Rabbit, Polyclonal Antibody, Abnova™

Catalog No. 89126115 Shop All Abnova Corporation Products
Change view
Click to view available options
Quantity:
100 μL
1 product options available for selection
Product selection table with 1 available options. Use arrow keys to navigate and Enter or Space to select.
Catalog No. Quantity
89-126-115 100 μL
Use arrow keys to navigate between rows. Press Enter or Space to select a product option. 1 options available.
1 options
Catalog No. 89-126-115 Supplier Abnova Corporation Supplier No. PAB24402
Only null left
Add to Cart
Add to Cart

Rabbit polyclonal antibody raised against recombinant SCRT1.

This gene is a member of the Snail family of C2H2-type zinc finger transcription factors. It codes for a neural-specific transcriptional repressor that binds to E-box motifs. The protein may promote neural differention and may be involved in cancers with neuroendocrine features. [provided by RefSeq

Sequence: LHDKGYLSDYVGPSSVYDGDAEAALLKGPSPEPMYAAAVRGELGP

Specifications

Antigen SCRT1
Applications Immunohistochemistry, Western Blot
Classification Polyclonal
Conjugate Unconjugated
Description Rabbit polyclonal antibody raised against recombinant SCRT1.
Dilution Immunohistochemistry (1:20-1:50) The optimal working dilution should be determined by the end user.
Formulation In PBS, pH 7.5 (40% glycerol, 0.02% sodium azide)
Gene SCRT1
Gene Alias DKFZp547F072/SCRT
Gene Symbols SCRT1
Host Species Rabbit
Immunogen Recombinant protein corresponding to amino acids of human SCRT1.
Purification Method Antigen affinity purification
Quantity 100 μL
Regulatory Status RUO
Primary or Secondary Primary
Gene ID (Entrez) 83482
Target Species Human
Content And Storage Store at 4°C. For long term storage store at -20°C.
Aliquot to avoid repeated freezing and thawing.
Form Liquid
Isotype IgG
Show More Show Less

For Research Use Only

Product Title
Select an issue

By clicking Submit, you acknowledge that you may be contacted by Fisher Scientific in regards to the feedback you have provided in this form. We will not share your information for any other purposes. All contact information provided shall also be maintained in accordance with our Privacy Policy.