Promotional price valid on web orders only. Your contract pricing may differ. Interested in signing up for a dedicated account number?
Learn More

STMN1 (phospho S37), Rabbit anti-Human, Mouse, Rat, Polyclonal Antibody, Abnova™

Rabbit polyclonal antibody raised against synthetic phosphopeptide of STMN1.

Supplier:  Abnova Corporation PAB25371

Catalog No. 89-127-011


Only null left
Add to Cart

Description

Description

This gene belongs to the stathmin family of genes. It encodes a ubiquitous cytosolic phosphoprotein proposed to function as an intracellular relay integrating regulatory signals of the cellular environment. The encoded protein is involved in the regulation of the microtubule filament system by destabilizing microtubules. It prevents assembly and promotes disassembly of microtubules. Multiple transcript variants encoding different isoforms have been found for this gene. [provided by RefSeq

Sequence: P-L-Sp-P-P
Specifications

Specifications

STMN1
Polyclonal
Rabbit polyclonal antibody raised against synthetic phosphopeptide of STMN1.
In PBS (without Mg2+ and Ca2+), 150mM NaCl, pH 7.4 (50% glycerol, 0.02% sodium azide)
LAP18/Lag/OP18/PP17/PP19/PR22/SMN
Rabbit
Affinity purification
RUO
3925
Store at -20°C.
Aliquot to avoid repeated freezing and thawing.
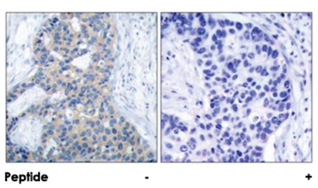
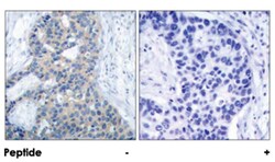
Immunohistochemistry (PFA fixed), Western Blot
Unconjugated
Western Blot (1:500-1:1000) Immunohistochemistry (1:50-100) The optimal working dilution should be determined by the end user.
STMN1
STMN1
Synthetic phosphopeptide corresponding to residues surrounding S37 of human STMN1.
100 μg
Primary
Human, Mouse, Rat
Liquid
Product Suggestions

Product Suggestions

Videos
SDS
Documents

Documents

Product Certifications
Promotions

Promotions

Product Content Correction

Your input is important to us. Please complete this form to provide feedback related to the content on this product.

Product Title

By clicking Submit, you acknowledge that you may be contacted by Fisher Scientific in regards to the feedback you have provided in this form. We will not share your information for any other purposes. All contact information provided shall also be maintained in accordance with our Privacy Policy.

Your feedback has been submitted: Thank you for helping us improve our website.

For Research Use Only