Promotional price valid on web orders only. Your contract pricing may differ. Interested in signing up for a dedicated account number?
Learn More

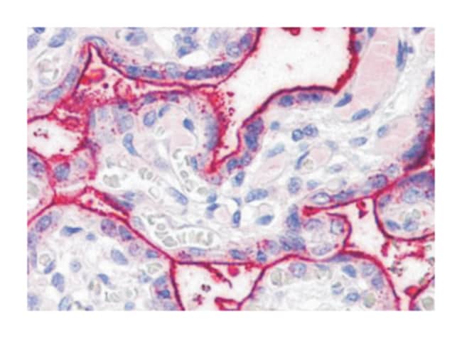
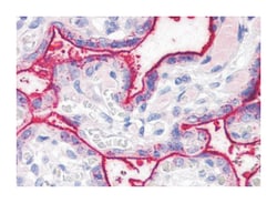
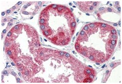
SURF4 Rabbit anti-Bovine, Chicken, Human, Mouse, Rat, Polyclonal Antibody, Abnova™

Rabbit polyclonal antibody raised against synthetic peptide of SURF4.

Supplier:  Abnova Corporation PAB28180

Catalog No. 89-129-687


Only null left
Add to Cart

Description

Description

This gene is located in the surfeit gene cluster, which is comprised of very tightly linked housekeeping genes that do not share sequence similarity. The encoded protein is a conserved integral membrane protein containing multiple putative transmembrane regions. In eukaryotic cells, protein transport between the endoplasmic reticulum and Golgi compartments is mediated in part by nonclathrin-coated vesicular coat proteins (COPs). The specific function of this protein has not been determined but its yeast homolog is directly required for packaging glycosylated pro-alpha-factor into COPII vesicles. This gene uses multiple polyadenylation sites, resulting in transcript length variation. The existence of alternatively spliced transcript variants has been suggested, but their validity has not been determined. [provided by RefSeq

Specifications

Specifications

SURF4
Polyclonal
Rabbit polyclonal antibody raised against synthetic peptide of SURF4.
In PBS (0.09% sodium azide)
ERV29/FLJ22993/MGC102753
Rabbit
Immunoaffinity chromatography
RUO
6836
Bovine, Chicken, Human, Mouse, Rat
Liquid
Immunohistochemistry (PFA fixed)
Unconjugated
Immunohistochemistry (Formalin/PFA-fixed paraffin-embedded sections) (15 ug/ml)
SURF4
SURF4
A synthetic peptide corresponding to 18 amino acids at N-terminus region of human SURF4.
50 μg
Primary
BLAST analysis of the peptide immunogen showed no homology with other human proteins.
Store at 4°C. For long term storage store at -80°C.
Aliquot to avoid repeated freezing and thawing.
Product Suggestions

Product Suggestions

Videos
SDS
Documents

Documents

Product Certifications
Promotions

Promotions

Product Content Correction

Your input is important to us. Please complete this form to provide feedback related to the content on this product.

Product Title

By clicking Submit, you acknowledge that you may be contacted by Fisher Scientific in regards to the feedback you have provided in this form. We will not share your information for any other purposes. All contact information provided shall also be maintained in accordance with our Privacy Policy.

Your feedback has been submitted: Thank you for helping us improve our website.

For Research Use Only