Promotional price valid on web orders only. Your contract pricing may differ. Interested in signing up for a dedicated account number?
Learn More

USP20 Rabbit anti-Bovine, Chicken, Dog, Horse, Human, Monkey, Pig, Rabbit, Polyclonal Antibody, Abnova™

Rabbit polyclonal antibody raised against synthetic peptide of USP20.

Supplier:  Abnova Corporation PAB16497

Catalog No. 89-118-369


Only null left
Add to Cart

Description

Description

Specifications

Specifications

USP20
Polyclonal
Rabbit polyclonal antibody raised against synthetic peptide of USP20.
In PBS (0.09% sodium azide)
KIAA1003/LSFR3A/VDU2
Rabbit
Immunoaffinity purification
RUO
10868
Bovine, Canine, Chicken, Equine, Human, Monkey, Pig, Rabbit
Liquid
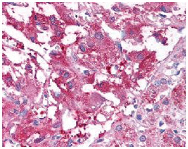
Immunohistochemistry (PFA fixed)
Unconjugated
Immunohistochemistry (Formalin/PFA-fixed paraffin-embedded sections) (10 ug/mL) The optimal working dilution should be determined by the end user.
USP20
USP20
A synthetic peptide (conjugated with KLH) corresponding to human USP20.
50 μg
Primary
Internal domain of human.
Store at 4°C. For long term storage store at -80°C.
Aliquot to avoid repeated freezing and thawing.
Product Suggestions

Product Suggestions

Videos
SDS
Documents

Documents

Product Certifications
Promotions

Promotions

Product Content Correction

Your input is important to us. Please complete this form to provide feedback related to the content on this product.

Product Title

By clicking Submit, you acknowledge that you may be contacted by Fisher Scientific in regards to the feedback you have provided in this form. We will not share your information for any other purposes. All contact information provided shall also be maintained in accordance with our Privacy Policy.

Your feedback has been submitted: Thank you for helping us improve our website.

For Research Use Only