Promotional price valid on web orders only. Your contract pricing may differ. Interested in signing up for a dedicated account number?
Learn More
Learn More
Invitrogen™ RAD21 Polyclonal Antibody

Rabbit Polyclonal Antibody
Supplier: Invitrogen™ PA5109313
Description
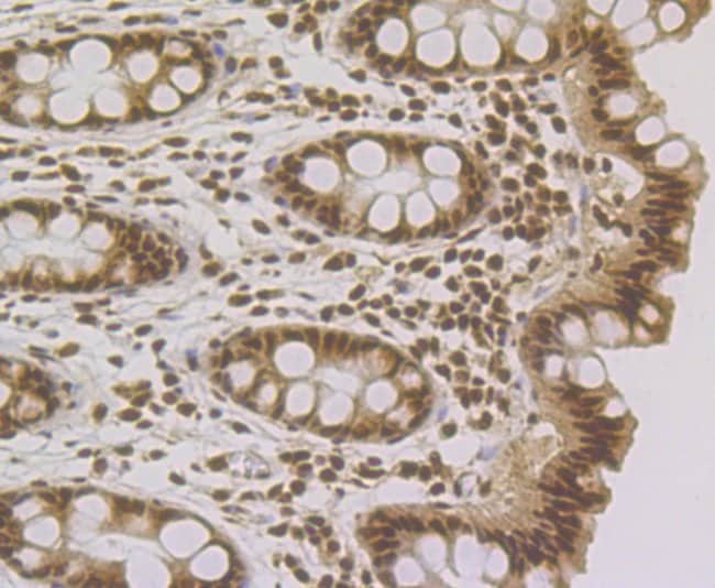
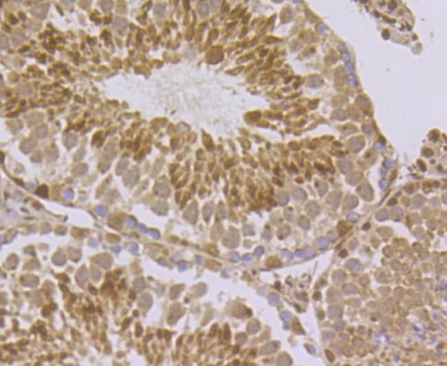
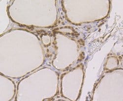
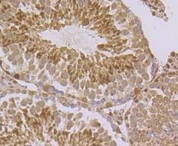
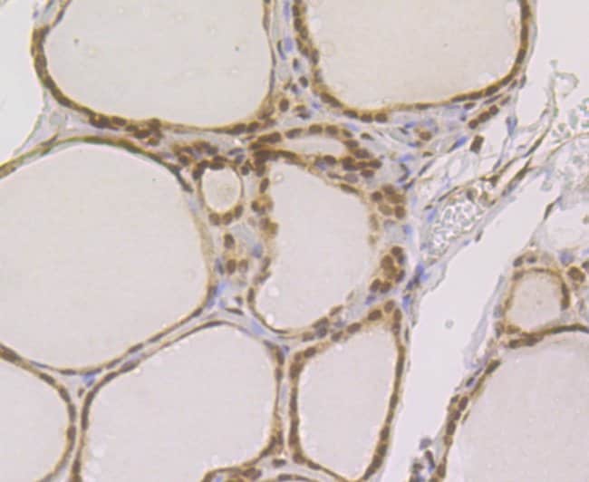
Positive Control: Mouse ovary tissue, Daudi, MG-63, SiHa, SK-Br-3, rat brain tissue, human thyroid gland cancer tissue, human colon tissue, mouse testis tissue.
This gene encodes a nuclear protein that regulates transcriptional elongation and pre-mRNA splicing. The encoded protein interacts with the hyperphosphorylated C-terminal domain of RNA polymerase II via multiple FF domains, and with the pre-mRNA splicing factor SF1 via a WW domain. Alternative splicing results in multiple transcripts variants encoding different isoforms.
Specifications
| RAD21 | |
| Polyclonal | |
| Unconjugated | |
| Rad21 | |
| 64-kDa carboxy-terminal product; 64-kDa C-terminal product; 65-kDa carboxy-terminal product; CDLS4; double-strand-break repair protein rad21 homolog; double-strand-break repair protein rad21-like protein; FLJ25655; FLJ40596; h NXP-1; hHR21; HR21; HRAD21; KIAA0078; KIAA0078RAD21; kleisin; MCD1; mHR21; mKIAA0078; nuclear matrix protein 1; NXP1; NXP-1; Pokeweed agglutinin-binding protein 29; protein involved in DNA double-strand break repair; PW29; Rad21; RAD21 cohesin complex component; RAD21 homolog; RAD21 homolog (S. pombe); SCC1; SCC1 homolog; sister chromatid cohesion 1 | |
| Rabbit | |
| Affinity chromatography | |
| RUO | |
| 5885 | |
| -20°C, Avoid Freeze/Thaw Cycles, store in dark | |
| Liquid |
| Immunohistochemistry (Paraffin), Western Blot, Immunocytochemistry | |
| 1 mg/mL | |
| PBS with 0.2% BSA, 50% glycerol and 0.05% sodium azide; pH 7.4 | |
| O60216 | |
| Rad21 | |
| Recombinant protein within Human Rad21 aa 252-456. | |
| 100 μL | |
| Primary | |
| Human | |
| Antibody | |
| IgG |
Safety and Handling
WARNING: Cancer - www.P65Warnings.ca.gov
Product Content Correction
Your input is important to us. Please complete this form to provide feedback related to the content on this product.
Product Title
Spot an opportunity for improvement?Share a Content Correction