Promotional price valid on web orders only. Your contract pricing may differ. Interested in signing up for a dedicated account number?
Learn More
Learn More
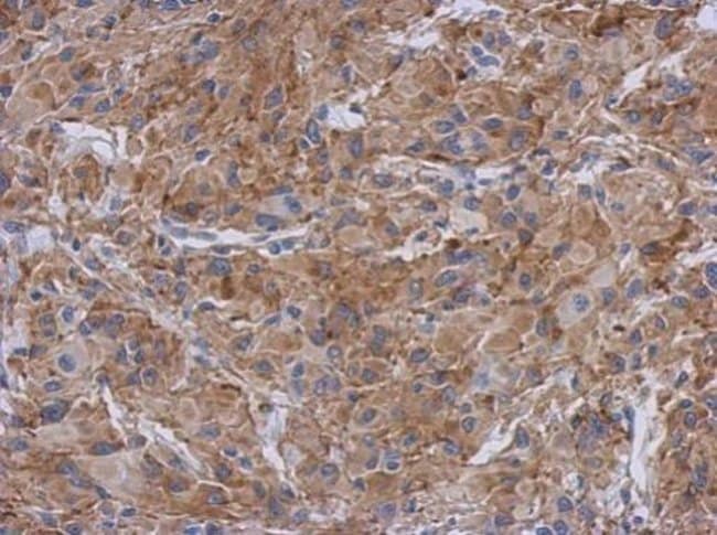
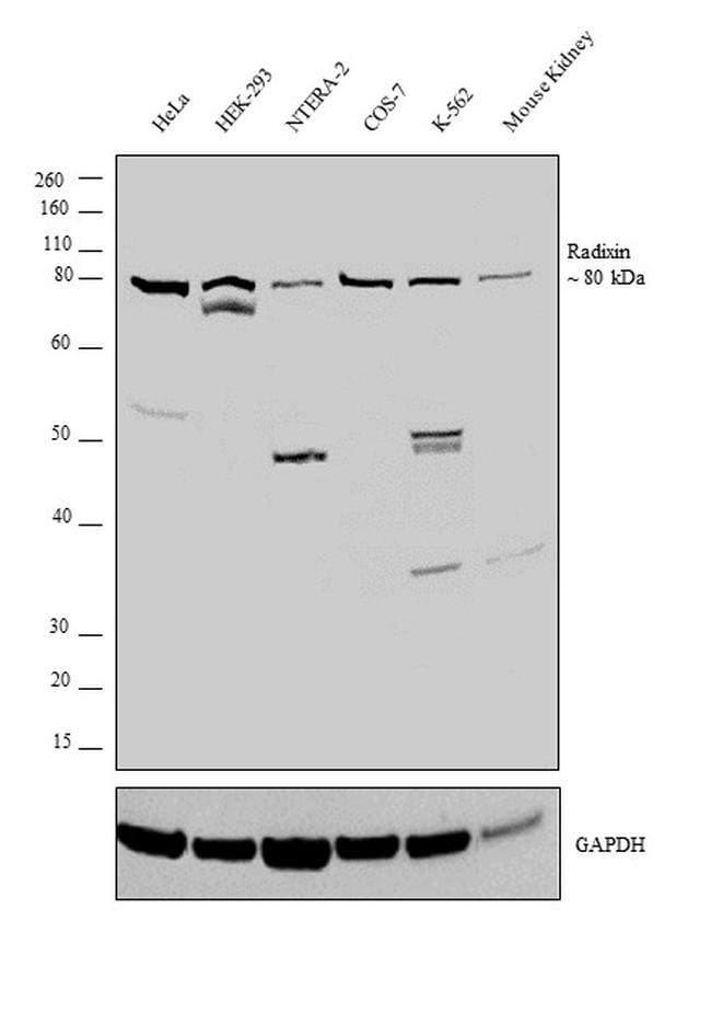
Invitrogen™ Radixin Polyclonal Antibody

Rabbit Polyclonal Antibody
Supplier: Invitrogen™ PA521660
Description
Recommended positive controls: 293T, mouse liver. Predicted reactivity: Mouse (98%), Rat (98%), Pig (99%), Chicken (98%), Bovine (98%). Store product as a concentrated solution. Centrifuge briefly prior to opening the vial.
Radixin is a cytoskeletal protein that may be important in linking actin to the plasma membrane. It is highly similar in sequence to both ezrin and moesin. The radixin gene has been localized by fluorescence in situ hybridization to 11q23. A truncated version representing a pseudogene (RDXP2) was assigned to Xp21.3. Another pseudogene that seemed to lack introns (RDXP1) was mapped to 11p by Southern and PCR analyses. Multiple alternatively spliced transcript variants encoding different isoforms have been found for this gene. [provided by RefSeq, May 2012].
Specifications
Radixin | |
Polyclonal | |
Unconjugated | |
Rdx | |
AA516625; DFNB24; ESP10; radixin; radixin isoform; Rdx | |
Rabbit | |
Antigen affinity chromatography | |
RUO | |
19684, 315655, 5962 | |
Store at 4°C short term. For long term storage, store at -20°C, avoiding freeze/thaw cycles. | |
Liquid |
Immunohistochemistry (Paraffin), Immunoprecipitation, Western Blot, Immunocytochemistry | |
0.9 mg/mL | |
PBS with 1% BSA, 20% glycerol and 0.01% thimerosal; pH 7 | |
P26043, P35241 | |
Rdx | |
Recombinant protein encompassing a sequence within the center region of human Radixin. The exact sequence is proprietary. | |
100 μL | |
Primary | |
Human, Mouse, Rat | |
Antibody | |
IgG |
Product Content Correction
Your input is important to us. Please complete this form to provide feedback related to the content on this product.
Product Title
Spot an opportunity for improvement?Share a Content Correction