Promotional price valid on web orders only. Your contract pricing may differ. Interested in signing up for a dedicated account number?
Learn More
Learn More
Invitrogen™ RANGAP1 Recombinant Rabbit Monoclonal Antibody (JG37-41)
Rabbit Recombinant Monoclonal Antibody
Supplier: Invitrogen™ MA534762
Description
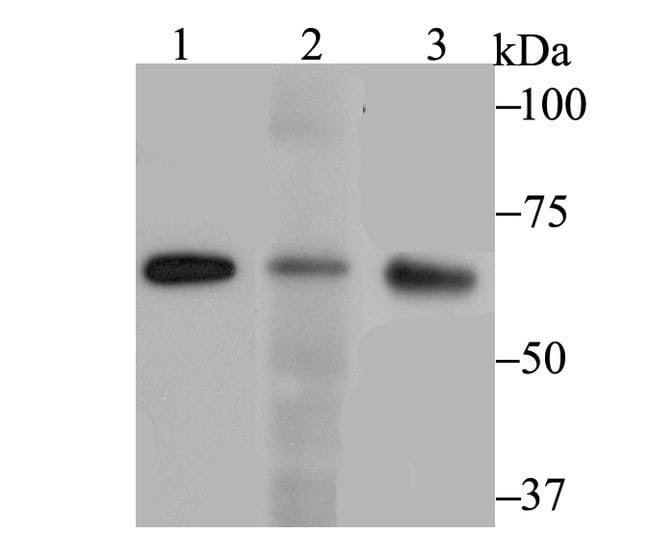
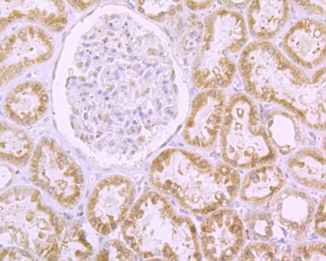
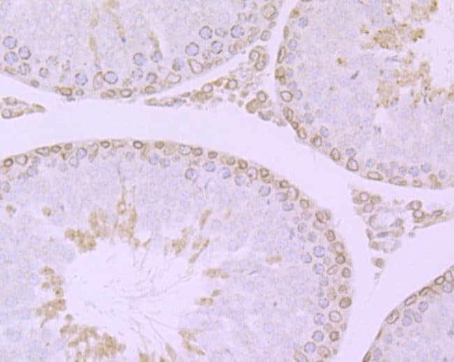
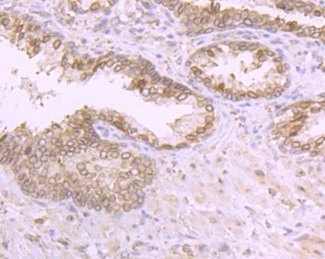
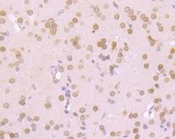
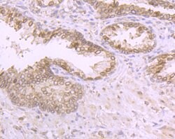
Positive Control: MCF-7, SiHa, 293, A431, 293T, rat testis tissue, human prostate tissue, mouse brain tissue, human kidney tissue.
Ran is a small signaling GTPase that is involved in nucleocytoplasmic transport. Two additional functions of animal Ran in the formation of spindle asters and the reassembly of the nuclear envelope in mitotic cells have been recently reported. In contrast to Ras or Rho, Ran is not associated with membranes. Instead, the spatial sequestering of its accessory proteins, the Ran GTPase-activating protein RanGAP and the nucleotide exchange factor RCC1, appears to define the local concentration of RanGTP vs. RanGDP involved in signaling. Mammalian RanGAP is bound to the nuclear pore by a mechanism involving the attachment of small ubiquitin-related modifier protein (SUMO) to its C terminus and the subsequent binding of the SUMOylated domain to the nucleoporin Nup358.
Specifications
RANGAP1 | |
Recombinant Monoclonal | |
1 mg/mL | |
TBS with 0.05% BSA, 40% glycerol and 0.05% sodium azide; pH 7.4 | |
P46060 | |
RANGAP1 | |
Synthetic peptide within Human RanGAP1 aa 1-50. | |
100 μL | |
Primary | |
Human | |
Antibody | |
IgG |
Flow Cytometry, Immunohistochemistry (Paraffin), Immunoprecipitation, Western Blot, Immunocytochemistry | |
JG37-41 | |
Unconjugated | |
RANGAP1 | |
C79654; fug1; KIAA1835; MGC20266; mKIAA1835; RAN GTPase activating protein 1; RAN GTPase activating protein 1 a; Ran GTPase activating protein 1 b; Ran GTPase activating protein 1 L homeolog; Ran GTPase activating protein 1 S homeolog; ran GTPase-activating protein 1; RANGAP; RanGAP1; rangap1.L; rangap1.S; rangap1a; rangap1-a; rangap1b; rangap1-b; rna1p; SD; segregation distorter homolog; segregation distortion; XELAEV_18023679mg; XELAEV_18025680mg | |
Rabbit | |
Protein A | |
RUO | |
5905 | |
-20°C, Avoid Freeze/Thaw Cycles, store in dark | |
Liquid |
Safety and Handling
WARNING: Cancer - www.P65Warnings.ca.gov
Product Content Correction
Your input is important to us. Please complete this form to provide feedback related to the content on this product.
Product Title
Spot an opportunity for improvement?Share a Content Correction