Promotional price valid on web orders only. Your contract pricing may differ. Interested in signing up for a dedicated account number?
Learn More
Learn More
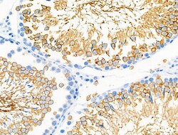
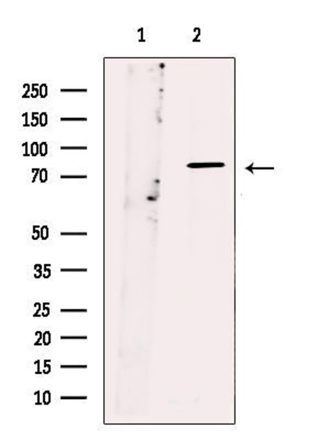
Invitrogen™ RAP1GAP Polyclonal Antibody

Rabbit Polyclonal Antibody
Supplier: Invitrogen™ PA5106715
Description
Antibody detects endogenous levels of total RAP1GAP.
Rap1GAP specifically stimulates GTP hydrolytic activity of the monomeric G protein Rap1. Physical interaction between G alpha z, a member of the Gi family of trimeric G proteins, and Rap1GAP blocks the ability of regulators of G protein signaling to stimulate GTP hydrolysis of the alpha subunit, and also attenuates the ability of activated G alpha z to inhibit adenylyl cyclase. Rap1GAP is expressed in the brain, kidney and pancreas and may act as a signal integrator to coordinate and/or integrate Gz signaling and Rap1 signaling in cells. A novel isoform of Rapl GTPase-activating protein, designated Rap1GAPII, binds specifically to G alpha z. Stimulation of the Gi-coupled M2 Muscarinic receptor translocates Rap1GAPII from the cytosol to the membrane and decreases the amount of GTP-bound Rap1, resulting in the activation of ERK/MAPK.
Specifications
| RAP1GAP | |
| Polyclonal | |
| Unconjugated | |
| RAP1GAP | |
| 1300019I11Rik; 2310004O14Rik; AI427470; ARPP-90; KIAA0474; RAP1 GTPase activating protein; Rap1 GTPase-activating protein; rap1 GTPase-activating protein 1; Rap1, GTPase-activating protein 1; Rap1ga1; Rap1GAP; Rap1GAP1; RAP1GAPII; RAPGAP | |
| Rabbit | |
| Affinity Chromatography | |
| RUO | |
| 110351, 313644, 5909 | |
| -20°C | |
| Liquid |
| Immunohistochemistry (Paraffin), Western Blot, Immunocytochemistry | |
| 1 mg/mL | |
| PBS with 50% glycerol and 0.02% sodium azide; pH 7.4 | |
| A2ALS5, P47736 | |
| RAP1GAP | |
| A synthesized peptide derived from human RAP1GAP(Accession P47736), corresponding to amino acid residues S484-S534. | |
| 100 μL | |
| Primary | |
| Human, Mouse, Rat | |
| Antibody | |
| IgG |
Safety and Handling
WARNING: Cancer - www.P65Warnings.ca.gov
Product Content Correction
Your input is important to us. Please complete this form to provide feedback related to the content on this product.
Product Title
Spot an opportunity for improvement?Share a Content Correction