Promotional price valid on web orders only. Your contract pricing may differ. Interested in signing up for a dedicated account number?
Learn More
Learn More
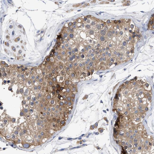
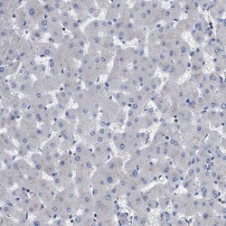
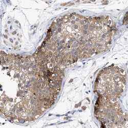
Invitrogen™ RAP1GDS1 Polyclonal Antibody

Rabbit Polyclonal Antibody
Supplier: Invitrogen™ PA553910
Description
Immunogen sequence: ESSKQFASTN IAEELVKLFK KQIEHDKREM IFEVLAPLAE NDAIKLQLVE AGLVECLLEI VQQKVDSDKE DDITELKTGS DLMVLLLLGD ESMQKLFEGG KGSVFQRVLS WIPSNNHQLQ LAGA Highest antigen sequence identity to the following orthologs: Mouse - 96%, Rat - 94%.
The smg GDP dissociation stimulator (smgGDS) protein is a stimulatory GDP/GTP exchange protein with GTPase activity (Riess et al., 1993 ).
Specifications
RAP1GDS1 | |
Polyclonal | |
Unconjugated | |
RAP1GDS1 | |
BC011279; Exchange factor smgGDS; GDS1; LOW QUALITY PROTEIN: rap1 GTPase-GDP dissociation stimulator 1; rap1 GTPase-GDP dissociation stimulator 1; rap1 GTPase-GDP dissociation stimulator 1; LOW QUALITY PROTEIN: rap1 GTPase-GDP dissociation stimulator 1; RAP1, GTP-GDP dissociation stimulator 1; RAP1GDS1; smg GDP/GTP exchange protein; SMG GDS protein; SMG P21 stimulatory GDP/GTP exchange protein; SmgGDS | |
Rabbit | |
Antigen affinity chromatography | |
RUO | |
5910 | |
Store at 4°C short term. For long term storage, store at -20°C, avoiding freeze/thaw cycles. | |
Liquid |
Immunohistochemistry (Paraffin), Western Blot, Immunocytochemistry | |
0.2 mg/mL | |
PBS with 40% glycerol and 0.02% sodium azide; pH 7.2 | |
P52306 | |
RAP1GDS1 | |
Recombinant protein corresponding to Human RAP1GDS1. Recombinant protein control fragment (Product #RP-92568). | |
100 μL | |
Primary | |
Human | |
Antibody | |
IgG |
Safety and Handling
WARNING: Cancer - www.P65Warnings.ca.gov
Product Content Correction
Your input is important to us. Please complete this form to provide feedback related to the content on this product.
Product Title
Spot an opportunity for improvement?Share a Content Correction