Promotional price valid on web orders only. Your contract pricing may differ. Interested in signing up for a dedicated account number?
Learn More
Learn More
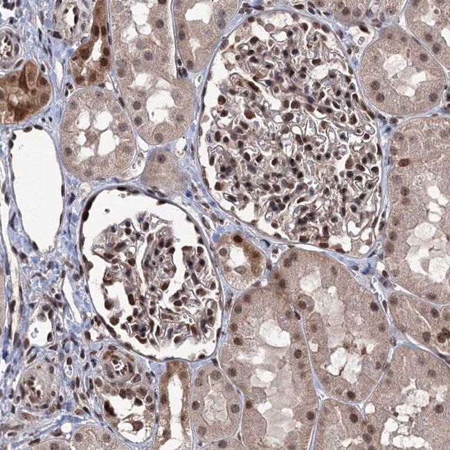
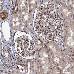
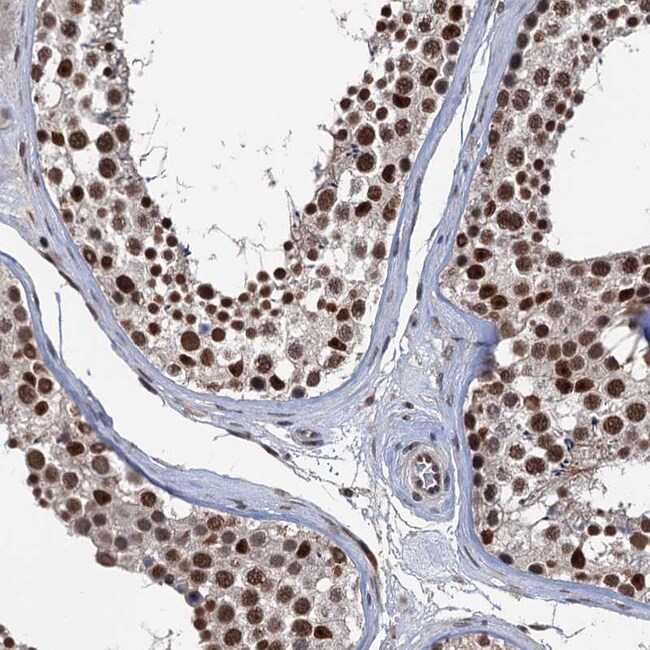
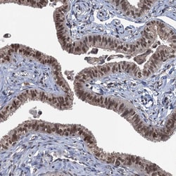
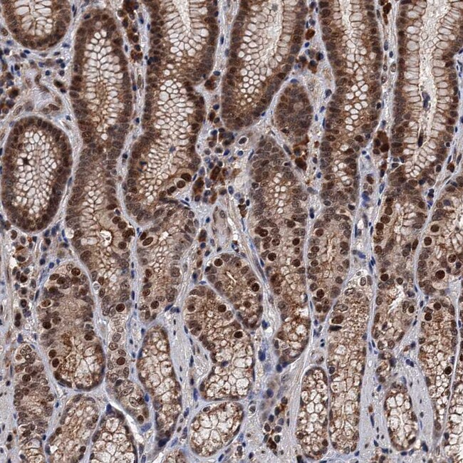
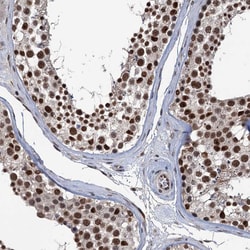
Invitrogen™ RASSF4 Polyclonal Antibody

Rabbit Polyclonal Antibody
Supplier: Invitrogen™ PA558556
Description
Immunogen sequence: QDDREQVHLP STSWMPRRPS CPLKEPSPQN GNITAQGPSI QPVHKAESST DSSGPLEEAE EAPQLMRTKS DASCMSQRRP KCRAPGEAQR I Highest antigen sequence identity to the following orthologs: Mouse - 63%, Rat - 64%.
The function of this gene has not yet been determined but may involve a role in tumor suppression. Alternative splicing of this gene results in several transcript variants; however, most of the variants have not been fully described.
Specifications
RASSF4 | |
Polyclonal | |
Unconjugated | |
RASSF4 | |
3830411C14Rik; AD037; AI586137; Ras association (RalGDS/AF-6) domain family 4; Ras association (RalGDS/AF-6) domain family member 4; Ras association domain family 4; Ras association domain family member 4; ras association domain-containing protein 4; Rassf4; tumor suppressor RASSF4 | |
Rabbit | |
Antigen affinity chromatography | |
RUO | |
83937 | |
Store at 4°C short term. For long term storage, store at -20°C, avoiding freeze/thaw cycles. | |
Liquid |
Immunohistochemistry (Paraffin), Western Blot, Immunocytochemistry | |
0.3 mg/mL | |
PBS with 40% glycerol and 0.02% sodium azide; pH 7.2 | |
Q9H2L5 | |
RASSF4 | |
Recombinant protein corresponding to Human RASSF4. Recombinant protein control fragment (Product #RP-97020). | |
100 μL | |
Primary | |
Human | |
Antibody | |
IgG |
Product Content Correction
Your input is important to us. Please complete this form to provide feedback related to the content on this product.
Product Title
Spot an opportunity for improvement?Share a Content Correction