Learn More
Invitrogen™ RBBP5 Polyclonal Antibody

Rabbit Polyclonal Antibody
Supplier: Invitrogen™ PA5121050
Description
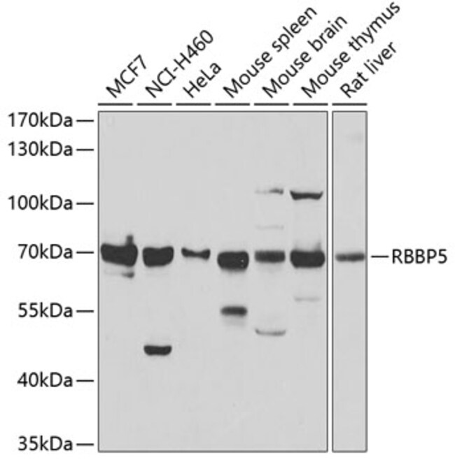
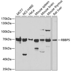
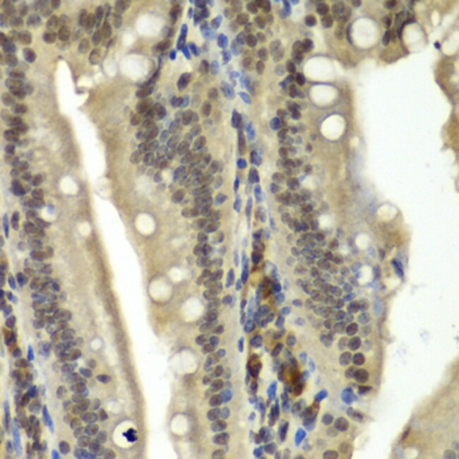
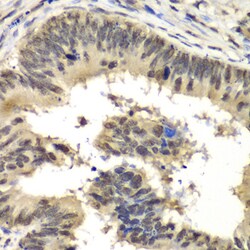
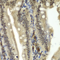
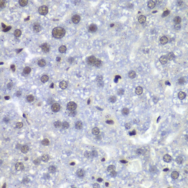
Positive test controls include: MCF7, NCI-H460, HeLa, Mouse spleen, Mouse brain, Mouse thymus, Rat liver. The target is usually found in the following locations: Nucleus. Immunogen sequence: SIWAQNQVEN WSAFAPDFKE LDENVEYEER ESEFDIEDED KSEPEQTGAD AAEDEEVDVT SVDPIAAFCS SDEELEDSKA LLYLPIAPEV EDPEENPYGP PPDAVQTSLM DEGASSEKKR QSSADGSQPP KKKPKTTNIE LQGVPNDEVH PLLGVKGDGK SKKKQAGRPK GSKGKEKDSP FKPKLYKGDR GLPLEGSAKG KVQAELSQPL TAGGAISELL.
This gene encodes a ubiquitously expressed nuclear protein which belongs to a highly conserved subfamily of WD-repeat proteins. The encoded protein binds directly to retinoblastoma protein, which regulates cell proliferation. It interacts preferentially with the underphosphorylated retinoblastoma protein via the E1A-binding pocket B. Three alternatively spliced transcript variants that encode different protein isoforms have been described for this gene.
Specifications
| RBBP5 | |
| Polyclonal | |
| Unconjugated | |
| Rbbp5 | |
| 4933411J24Rik; C330016J05; RB binding protein 5, histone lysine methyltransferase complex subunit; RBBP 5; Rbbp5; RBBP-5; RBQ 3; RBQ3; retinoblastoma binding protein 5; retinoblastoma-binding protein 5; Retinoblastoma-binding protein RBQ-3; SWD1; SWD1, Set1c WD40 repeat protein, homolog | |
| Rabbit | |
| Affinity Chromatography | |
| RUO | |
| 213464, 304794, 5929 | |
| -20°C, Avoid Freeze/Thaw Cycles | |
| Liquid |
| ELISA, Immunohistochemistry (Paraffin), Immunoprecipitation, Western Blot, Immunocytochemistry | |
| 0.54 mg/mL | |
| PBS with 50% glycerol and 0.02% sodium azide; pH 7.3 | |
| Q15291, Q8BX09 | |
| Rbbp5 | |
| Recombinant fusion protein containing a sequence corresponding to amino acids 319-538 of human RBBP5 (NP_005048.2). | |
| 100 μL | |
| Primary | |
| Human, Mouse, Rat | |
| Antibody | |
| IgG |
Your input is important to us. Please complete this form to provide feedback related to the content on this product.