Promotional price valid on web orders only. Your contract pricing may differ. Interested in signing up for a dedicated account number?
Learn More
Learn More
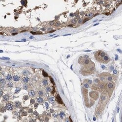
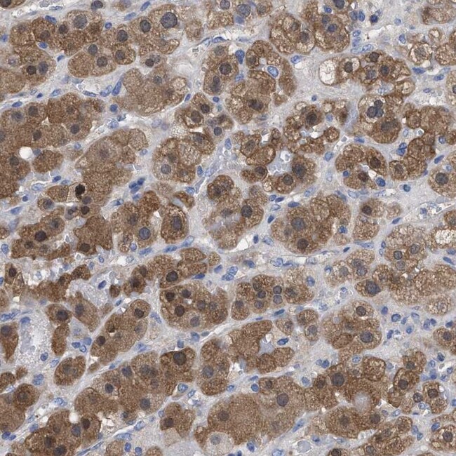
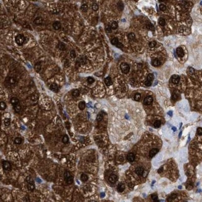
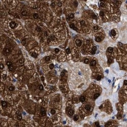
Invitrogen™ RBKS Polyclonal Antibody

Rabbit Polyclonal Antibody
Supplier: Invitrogen™ PA582693
Description
Immunogen sequence: CQVVIITLGA EGCVVLSQTE PEPKHIPTEK VKAVDTTGAG DSFVGALAFY LAYYPNLSLE DMLNRSNFIA AVSVQAAGTQ SSYPYKKDLP LTLF.
RBSK belongs to the pfkB family of carbohydrate kinases. It phosphorylates ribose to form ribose-5-phosphate in the presence of ATP and magnesium as a first step in ribose metabolism.
Specifications
RBKS | |
Polyclonal | |
Unconjugated | |
RBKS | |
5230400M11Rik; RBKS; RBSK; Ribokinase; RK | |
Rabbit | |
Antigen affinity chromatography | |
RUO | |
64080 | |
Store at 4°C short term. For long term storage, store at -20°C, avoiding freeze/thaw cycles. | |
Liquid |
Immunohistochemistry (Paraffin), Western Blot, Immunocytochemistry | |
0.05 mg/mL | |
PBS with 40% glycerol and 0.02% sodium azide; pH 7.2 | |
Q9H477 | |
RBKS | |
Recombinant protein corresponding to Human RBKS. Recombinant protein control fragment (Product #RP-91761). | |
100 μL | |
Primary | |
Human | |
Antibody | |
IgG |
Safety and Handling
WARNING: Cancer - www.P65Warnings.ca.gov
Product Content Correction
Your input is important to us. Please complete this form to provide feedback related to the content on this product.
Product Title
Spot an opportunity for improvement?Share a Content Correction