Learn More
Invitrogen™ RBM3 Recombinant Rabbit Monoclonal Antibody (JE63-84)

Description
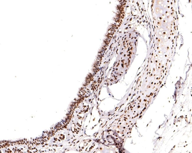
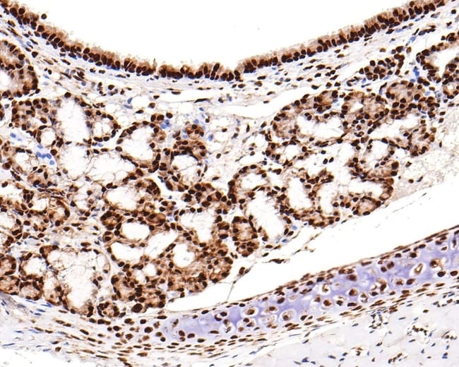
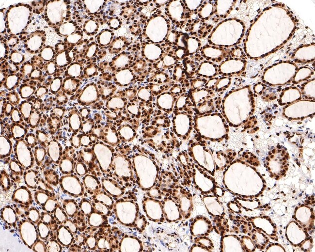
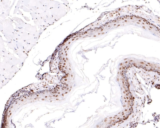
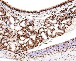
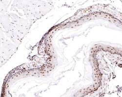
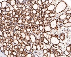
Positive control: Hela, human esophagus tissue, mouse thyroid tissue, mouse trachea tissue, rat trachea tissue, rat esophagus tissue, THP-1. Predicted band size: 17 kDa Subcellular Location: Nucleus, cytoplasm, dendrite.
Specifications
Specifications
| Antigen | RBM3 |
| Applications | Flow Cytometry, Immunohistochemistry (Paraffin), Immunocytochemistry |
| Classification | Recombinant Monoclonal |
| Clone | JE63-84 |
| Concentration | 1 mg/mL |
| Conjugate | Unconjugated |
| Formulation | TBS with 0.05% BSA, 40% glycerol and 0.05% sodium azide; pH 7.4 |
| Gene | RBM3 |
| Gene Accession No. | O89086, P98179, Q925G0 |
| Gene Alias | 2600016C11Rik; hypothetical protein LOC509771; IS1-RNPL; OTTHUMP00000025800; OTTHUMP00000025802; putative RNA-binding protein 3; Rbm3; RNA binding motif (RNP1, RRM) protein 3; RNA binding motif protein 3; RNA-binding motif protein 3; RNA-binding protein 3; RNPL |
| Show More |
By clicking Submit, you acknowledge that you may be contacted by Fisher Scientific in regards to the feedback you have provided in this form. We will not share your information for any other purposes. All contact information provided shall also be maintained in accordance with our Privacy Policy.