Promotional price valid on web orders only. Your contract pricing may differ. Interested in signing up for a dedicated account number?
Learn More
Learn More
Invitrogen™ RBM43 Polyclonal Antibody

Rabbit Polyclonal Antibody
Supplier: Invitrogen™ PA558293
Description
Immunogen sequence: RTLVPETARS GEMLVLDTDV FLYLKHKCGS YESTLKKFHI LSQEKVDGEI TTICLKSIQV GSQPNNA Highest antigen sequence identity to the following orthologs: Mouse - 58%, Rat - 63%.
Specifications
| RBM43 | |
| Polyclonal | |
| Unconjugated | |
| RBM43 | |
| C2orf38; RBM43; RNA binding motif protein 43; RNA-binding motif protein 43; RNA-binding protein 43 | |
| Rabbit | |
| Antigen Affinity Chromatography | |
| RUO | |
| 375287 | |
| Store at 4°C short term. For long term storage, store at -20°C, avoiding freeze/thaw cycles. | |
| Liquid |
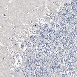
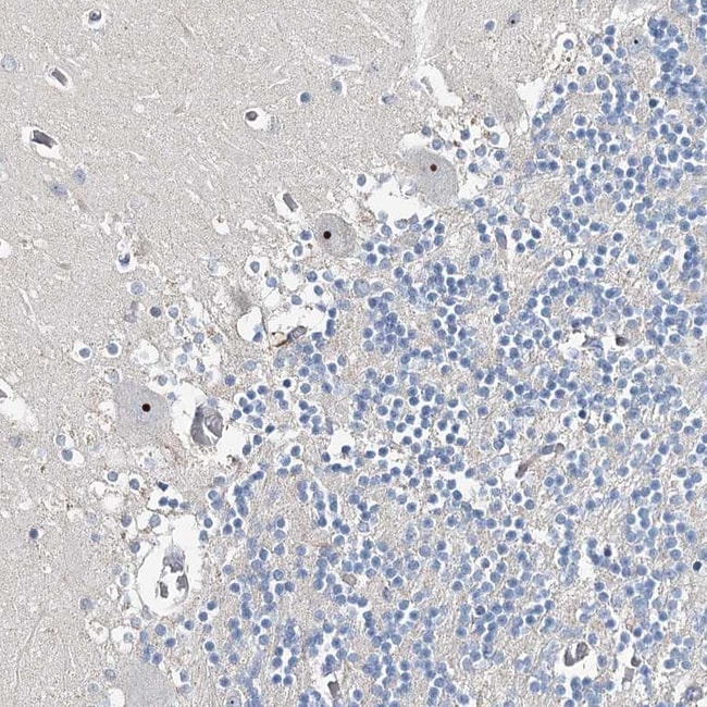
| Immunohistochemistry (Paraffin) | |
| 0.05 mg/mL | |
| PBS with 40% glycerol and 0.02% sodium azide; pH 7.2 | |
| Q6ZSC3 | |
| RBM43 | |
| Recombinant protein corresponding to Human RBM43. Recombinant protein control fragment (Product #RP-96216). | |
| 100 μL | |
| Primary | |
| Human | |
| Antibody | |
| IgG |
Product Content Correction
Your input is important to us. Please complete this form to provide feedback related to the content on this product.
Product Title
Spot an opportunity for improvement?Share a Content Correction