Promotional price valid on web orders only. Your contract pricing may differ. Interested in signing up for a dedicated account number?
Learn More
Learn More
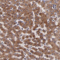
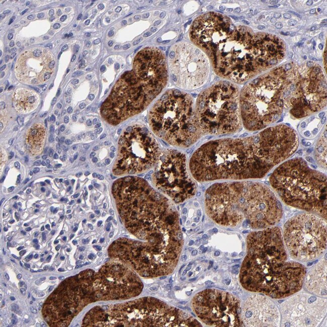
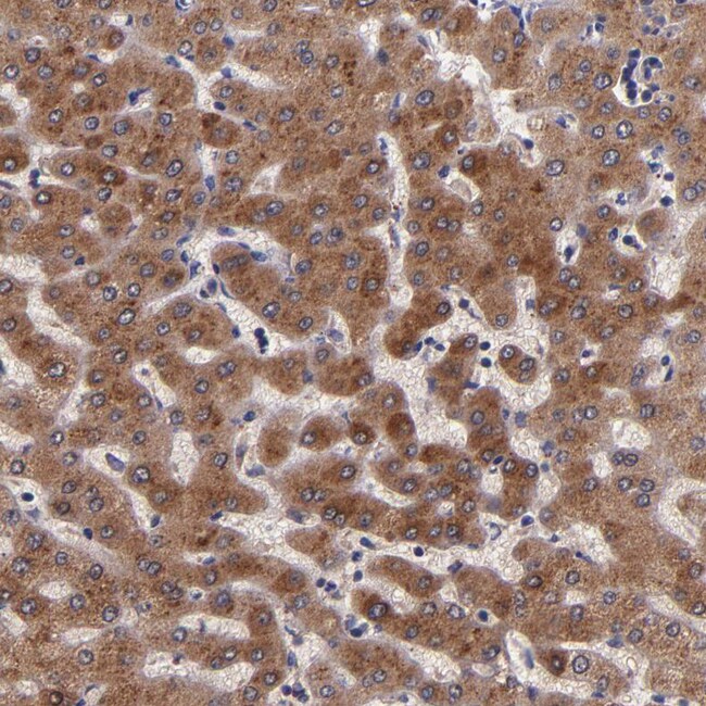
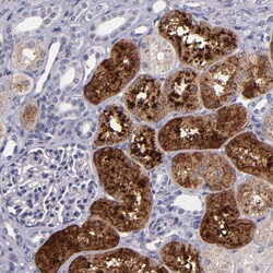
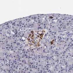
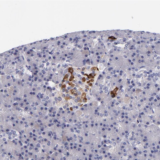
RBP4 Polyclonal Antibody

RBP4 Polyclonal Antibody
Supplier: Thermo Scientific PA551619
Description
RBP4 Polyclonal Antibody for IHC
Specifications
| RBP4 | |
| Polyclonal | |
| Unconjugated | |
| RBP4 | |
| MCOPCB10; Plasma retinol binding protein 4 (PRBP); Plasma retinol-binding protein; Plasma retinol-binding protein(1-176); Plasma retinol-binding protein(1-179); Plasma retinol-binding protein(1-181); Plasma retinol-binding protein(1-182); PRBP; PRO2222; RBP; Rbp4; Rbp-4; RBPA; RDCCAS; retinol; retinol binding; retinol binding protein 4; Retinol binding protein 4 interstitial; retinol binding protein 4, cellular; retinol binding protein 4, plasma; retinol-binding protein 4; retinol-binding protein 4, interstitial | |
| Rabbit | |
| Antigen Affinity Chromatography | |
| RUO | |
| 5950 | |
| Store at 4°C short term. For long term storage, store at -20°C, avoiding freeze/thaw cycles. | |
| Liquid |
| Immunohistochemistry (Paraffin) | |
| 0.05 mg/mL | |
| PBS with 40% glycerol and 0.02% sodium azide; pH 7.2 | |
| P02753 | |
| RBP4 | |
| Recombinant protein corresponding to Human RBP4. Recombinant protein control fragment (Product #RP-100520). | |
| 100 μL | |
| Primary | |
| Human | |
| Antibody | |
| IgG |
Product Content Correction
Your input is important to us. Please complete this form to provide feedback related to the content on this product.
Product Title
Spot an opportunity for improvement?Share a Content Correction