Promotional price valid on web orders only. Your contract pricing may differ. Interested in signing up for a dedicated account number?
Learn More
Learn More
Invitrogen™ RBPJ Polyclonal Antibody

Rabbit Polyclonal Antibody
Supplier: Invitrogen™ PA535187
Description
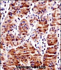
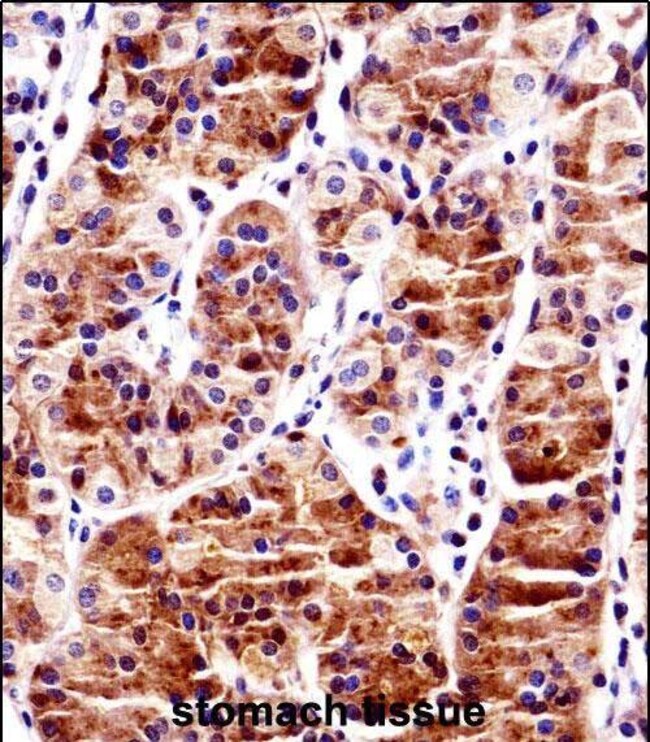
RBPJ Polyclonal Antibody for Western Blot, ICC/IF, IHC (P)
CSL plays a role in the regulatory network through which muscle cells coordinate their structural and functional states during growth, adaptation, and repair. The protein is abundantly expressed in heart and skeletal muscle and expression is increased by passive stretch. Mutations in this gene can lead to X-linked deafness.
Specifications
| RBPJ | |
| Polyclonal | |
| Unconjugated | |
| RBPJ | |
| AI843960; AOS3; CBF1; CBF-1; csl; H-2K binding factor-2; Igkjrb; Igkjrb1; Igkrsbp; immunoglobulin kappa J region recombination signal binding protein 1; J kappa-recombination signal-binding protein; KBF2; Rbpj; RBP-J; RBP-J kappa; RBPJK; RBP-JK; rbp-jkappa; RBPSUH; recombination signal binding protein for immunoglobulin kappa J region; recombining binding protein suppressor of hairless; recombining binding protein suppressor of hairless-like; recombining binding protein suppressor of hairless-like protein; renal carcinoma antigen NY-REN-30; SUH; suppressor of hairless homolog; Unknown (protein for MGC:128782) | |
| Rabbit | |
| Antigen affinity chromatography, Protein A | |
| RUO | |
| 3516 | |
| Store at 4°C short term. For long term storage, store at -20°C, avoiding freeze/thaw cycles. | |
| Liquid |
| Immunohistochemistry (Paraffin), Western Blot, Immunocytochemistry | |
| 0.44 mg/mL | |
| PBS with 0.09% sodium azide; pH 7.4 | |
| Q06330 | |
| RBPJ | |
| KLH conjugated synthetic peptide between 1-29 amino acids from the N-terminal region of human RBPJ. | |
| 400 μL | |
| Primary | |
| Human | |
| Antibody | |
| IgG |
Safety and Handling
WARNING: Cancer - www.P65Warnings.ca.gov
Product Content Correction
Your input is important to us. Please complete this form to provide feedback related to the content on this product.
Product Title
Spot an opportunity for improvement?Share a Content Correction