Promotional price valid on web orders only. Your contract pricing may differ. Interested in signing up for a dedicated account number?
Learn More
Learn More
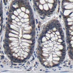
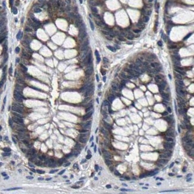
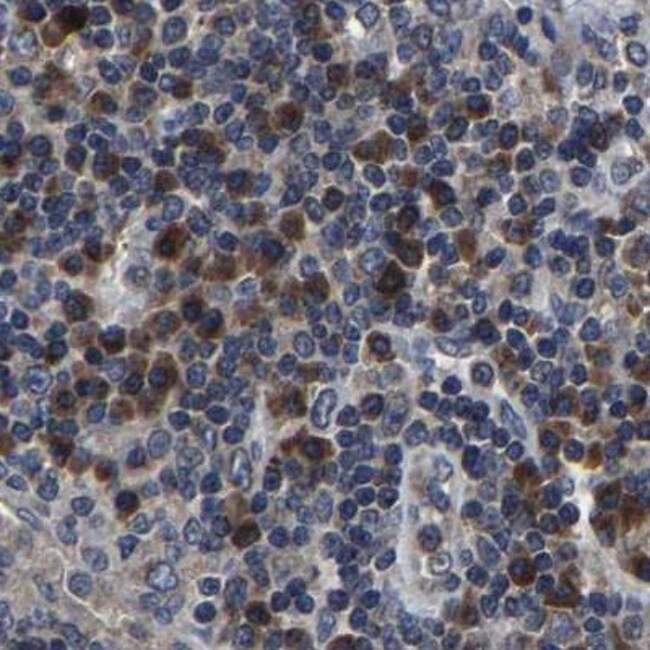
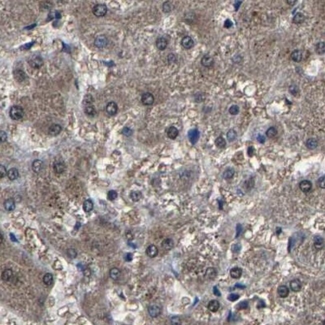
Invitrogen™ RCAS1 Polyclonal Antibody

Rabbit Polyclonal Antibody
Supplier: Invitrogen™ PA5110867
Description
Immunogen sequence: RGRKLSGDQI TLPTTVDYSS VPKQTDVEEW TSWDEDAPTS VKIEGGNGNV ATQQNSLEQL EPDYFKDMTP TIRKTQKIVI KKREPLNFGI.
This gene was identified as an estrogen-responsive gene. Regulation of transcription by estrogen is mediated by estrogen receptor which binds to the estrogen-responsive element found in the 5'-flanking region of this gene. The encoded protein is a tumor-associated antigen that is expressed at high frequency in a variety of cancers. Two transcript variants differing in the 5' UTR, but encoding the same protein, have been identified for this gene.
Specifications
| RCAS1 | |
| Polyclonal | |
| PBS with 40% glycerol and 0.02% sodium azide; pH 7.2 | |
| O00559 | |
| EBAG9 | |
| Recombinant Protein corresonding to Human RCAS1. Recombinant protein control fragment (Product #RP-91871). | |
| 100 μL | |
| Primary | |
| Human | |
| Antibody | |
| IgG |
| Immunohistochemistry (Paraffin) | |
| Unconjugated | |
| EBAG9 | |
| AI835379; BAG9; cancer associated surface antigen; cancer associated surface antigen RCAS1; cancer-associated surface antigen RCAS1; EB9; EBAG9; estrogen receptor binding fragment associated gene 9; estrogen receptor binding site associated, antigen, 9; estrogen receptor-binding fragment-associated gene 9; estrogen receptor-binding fragment-associated gene 9 protein; HGNC:3123; PDAF; Rcas1; receptor binding cancer antigen expressed on SiSo cells; Receptor-binding cancer antigen expressed on SiSo cells | |
| Rabbit | |
| Antigen affinity chromatography | |
| RUO | |
| 9166 | |
| Store at 4°C short term. For long term storage, store at -20°C, avoiding freeze/thaw cycles. | |
| Liquid |
Product Content Correction
Your input is important to us. Please complete this form to provide feedback related to the content on this product.
Product Title
Spot an opportunity for improvement?Share a Content Correction