Promotional price valid on web orders only. Your contract pricing may differ. Interested in signing up for a dedicated account number?
Learn More
Learn More
Invitrogen™ RCOR1 Polyclonal Antibody

Rabbit Polyclonal Antibody
Supplier: Invitrogen™ PA5115043
Description
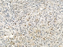
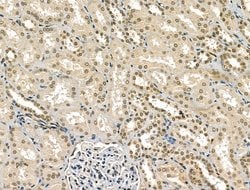
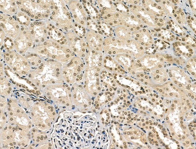
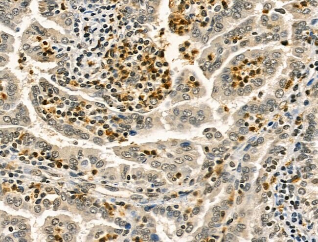
Antibody detects endogenous levels of total CoREST.
RCOR1 is a functional corepressor required for regulation of neural-specific gene expression. The RCOR gene encodes a functional corepressor required for regulation of neural-specific gene expression. The RCOR gene encodes a functional corepressor required for regulation of neural-specific gene expression.
Specifications
| RCOR1 | |
| Polyclonal | |
| Unconjugated | |
| RCOR1 | |
| 5730409O11; 6720480E22Rik; AU042633; COREST; D12Wsu95e; im:6904264; KIAA0071; LOC102554884; mKIAA0071; Protein CoREST; RCOR; Rcor1; REST corepressor 1; REST corepressor 1-like; Rocr1; si:dkey-46n18.7; zgc:158607 | |
| Rabbit | |
| Affinity chromatography | |
| RUO | |
| 102554884, 217864, 23186 | |
| -20°C | |
| Liquid |
| Immunohistochemistry (Paraffin), Western Blot | |
| 1 mg/mL | |
| PBS with 50% glycerol and 0.02% sodium azide | |
| Q8CFE3, Q9UKL0 | |
| RCOR1 | |
| A synthesized peptide derived from human RCOR1(Accession Q9UKL0), corresponding to amino acid residues M1-C38. | |
| 100 μL | |
| Primary | |
| Human, Mouse, Rat | |
| Antibody | |
| IgG |
Safety and Handling
WARNING: Cancer - www.P65Warnings.ca.gov
Product Content Correction
Your input is important to us. Please complete this form to provide feedback related to the content on this product.
Product Title
Spot an opportunity for improvement?Share a Content Correction