Promotional price valid on web orders only. Your contract pricing may differ. Interested in signing up for a dedicated account number?
Learn More
Learn More
Invitrogen™ REC8 Polyclonal Antibody
Rabbit Polyclonal Antibody
Supplier: Invitrogen™ PA556835
Description
Immunogen sequence: PSPFDIPQIR HLLEAAIPER VEEIPPEVPT EPREPERIPV TVLPPEAITI LEAEPIRMLE IEGERELPEV SRRELDLLI Highest antigen sequence identity to the following orthologs: Mouse - 65%, Rat - 68%.
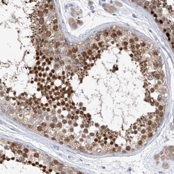
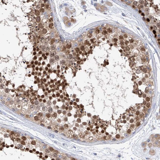
This gene encodes a member of the kleisin family of SMC (structural maintenance of chromosome) protein partners. The protein localizes to the axial elements of chromosomes during meiosis in both oocytes and spermatocytes. In the mouse, the homologous protein is a key component of the meiotic cohesion complex, which regulates sister chromatid cohesion and recombination between homologous chromosomes. Multiple alternatively spliced variants, encoding the same protein, have been found for this gene. [provided by RefSeq, Jul 2008].
Specifications
REC8 | |
Polyclonal | |
Unconjugated | |
REC8 | |
cohesin Rec8p; cohesion rec8p; HR21spB; human homolog of rad21, S. pombe; kleisin-alpha; Mei8; meiosis specific sister chromatid cohesion protein; meiotic cohesion Rec8; meiotic recombination and sister chromatid cohesion phosphoprotein of the rad21p family; meiotic recombination protein REC8 homolog; meiotic recombination protein REC8-like 1; mrec; Rec8; rec8 {ECO:0000250; REC8 homolog; REC8 meiotic recombination protein; Rec8L1; REC8-like 1; Rec8p; recombination and sister chromatid cohesion protein homolog; UniProtKB:Q8C5S7} | |
Rabbit | |
Antigen affinity chromatography | |
RUO | |
9985 | |
Store at 4°C short term. For long term storage, store at -20°C, avoiding freeze/thaw cycles. | |
Liquid |
Immunohistochemistry (Paraffin), Immunocytochemistry | |
0.2 mg/mL | |
PBS with 40% glycerol and 0.02% sodium azide; pH 7.2 | |
O95072 | |
REC8 | |
Recombinant protein corresponding to Human REC8. Recombinant protein control fragment (Product #RP-95575). | |
100 μL | |
Primary | |
Human | |
Antibody | |
IgG |
Safety and Handling
WARNING: Cancer - www.P65Warnings.ca.gov
Product Content Correction
Your input is important to us. Please complete this form to provide feedback related to the content on this product.
Product Title
Spot an opportunity for improvement?Share a Content Correction