Learn More
Invitrogen™ RED Polyclonal Antibody

Rabbit Polyclonal Antibody
Supplier: Invitrogen™ PA5120336
Description
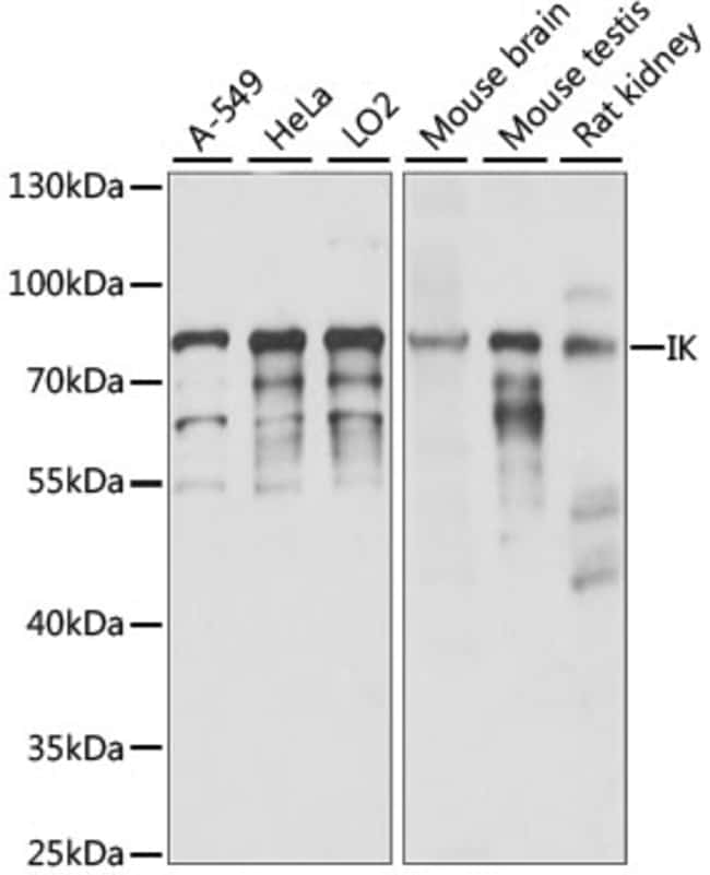
Positive test controls include: A-549, HeLa, LO2, Mouse brain, Mouse testis, Rat kidney. The target is usually found in the following locations: Nucleus. Immunogen sequence: MPERDSEPFS NPLAPDGHDV DDPHSFHQSK LTNEDFRKLL MTPRAAPTSA PPSKSRHHEM PREYNEDEDP AARRRKKKSY YAKLRQQEIE RERELAEKYR DRAKERRDGV NKDYEETELI STTANYRAVG PTAEADKSAA EKRRQLIQES KFLGGDMEHT HLVKGLDFAL LQKVRAEIAS KEKEEEELME KPQKETKKDE DPENKIEFKT RLGRNVYRML FKSKAYERNE LFLPGRMAYV VDLDDEYADT DIPTTLIRSK ADCPTMEAQT TLTTNDIVIS.
Insulin-like growth factor-II messenger RNA (mRNA)-binding protein-3 (IMP-3), also known as K homology domain-containing protein overexpressed in cancer (KOC) and L523S, is a member of the insulin-like growth factor-II mRNA-binding protein family and is expressed during embryogenesis and in some malignancies. IMP-3 is expressed in malignant melanoma but not in benign nevi, even when dysplastic features are present; IMP-3 is expressed in a significantly higher proportion of melanomas than Spitz nevi; and IMP-3 is expressed in metastatic melanomas significantly more than in thin melanomas. IMP-3 appears to be involved in the progression of malignant melanoma and may play an important role in the regulation of the biologic behavior of this tumor.
Specifications
RED | |
Polyclonal | |
Unconjugated | |
IK | |
arginine/glutamic acid/aspartic acid repeat containing protein; chondrosarcoma-associated protein 2; CSA2; Cytokine IK; Cytokine IK factor; IK; IK cytokine; IK cytokine, down-regulator of HLA II; IK factor; MuRED; prer protein; protein Red; Protein RER; RD element; RED; Rer | |
Rabbit | |
Affinity Chromatography | |
RUO | |
24010, 291659, 3550 | |
-20°C, Avoid Freeze/Thaw Cycles | |
Liquid |
ELISA, Western Blot | |
1.34 mg/mL | |
PBS with 50% glycerol and 0.01% thimerosal; pH 7.3 | |
Q13123, Q66HG8, Q9Z1M8 | |
IK | |
Recombinant fusion protein containing a sequence corresponding to amino acids 1-280 of human IK (NP_006074.2). | |
100 μL | |
Primary | |
Human, Mouse, Rat | |
Antibody | |
IgG |
Safety and Handling
Your input is important to us. Please complete this form to provide feedback related to the content on this product.