Promotional price valid on web orders only. Your contract pricing may differ. Interested in signing up for a dedicated account number?
Learn More
Learn More
Invitrogen™ REG1B Polyclonal Antibody
Rabbit Polyclonal Antibody
Supplier: Invitrogen™ PA5121648
This item is not returnable.
View return policy
Description
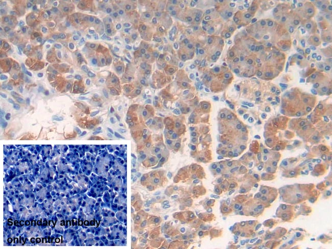
REG1B Polyclonal Antibody for Western Blot, IHC (P)
REG1B might act as an inhibitor of spontaneous calcium carbonate precipitation. REG1B may be associated with neuronal sprouting in brain, and with brain and pancreas regeneration.This gene is a type I subclass member of the Reg gene family. The Reg gene family is a multigene family grouped into four subclasses, types I, II, III and IV based on the primary structures of the encoded proteins. This gene encodes a protein secreted by the exocrine pancreas that is highly similar to the REG1A protein. The related REG1A protein is associated with islet cell regeneration and diabetogenesis, and may be involved in pancreatic lithogenesis. Reg family members REG1A, REGL, PAP and this gene are tandemly clustered on chromosome 2p12 and may have arisen from the same ancestral gene by gene duplication. Publication Note: This RefSeq record includes a subset of the publications that are available for this gene. Please see the Entrez Gene record to access additional publications.
Specifications
REG1B | |
Polyclonal | |
Unconjugated | |
REG1B | |
lithostathine 1 beta; lithostathine-1-beta; Pancreatic stone protein 2; PSP-2; PSPS2; REG1B; REG-1-beta; regenerating family member 1 beta; regenerating islet-derived 1 beta; regenerating islet-derived 1 beta (pancreatic stone protein, pancreatic thread protein); regenerating islet-derived protein 1-beta; Regenerating protein I beta; REGH; REGI-BETA; REGL; secretory pancreatic stone protein 2 | |
Rabbit | |
Antigen affinity chromatography, Protein A | |
RUO | |
5968 | |
Store at 4°C short term. For long term storage, store at -20°C, avoiding freeze/thaw cycles. | |
Liquid |
Immunohistochemistry (Paraffin), Western Blot | |
0.5 mg/mL | |
PBS with 50% glycerol and 0.05% ProClin 300; pH 7.4 | |
P48304 | |
REG1B | |
Recombinant protein Regenerating Islet Derived Protein 1 Beta. The antigen corresponds to amino acid range 23-166 of the target protein. | |
20 μL | |
Primary | |
Human, Mouse | |
Antibody | |
IgG |
Product Content Correction
Your input is important to us. Please complete this form to provide feedback related to the content on this product.
Product Title
Spot an opportunity for improvement?Share a Content Correction