Learn More
Invitrogen™ REPS2 Polyclonal Antibody

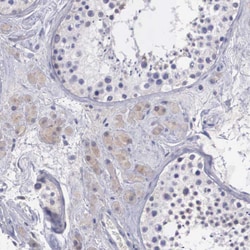
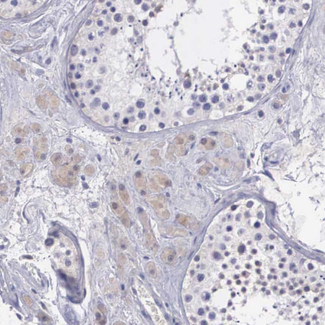
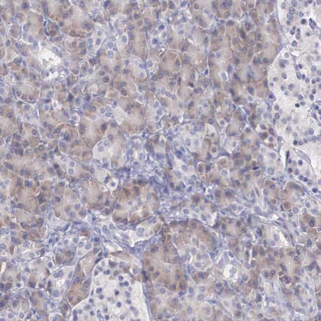
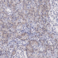
Description
Immunogen sequence: KCELPLPRFM MSKNDGEIRF GNPAELHGTK VQIPYLTTEK NSFKRMDDED KQQETQSPTM SPLASPPSSP PHYQRVPLSH GYSKLRSSAE QMHPAPYEAR QPLVQPEGSS SGGPGTKPLR HQASLIRSFS VERELQDNSS YPDEPWR Highest antigen sequence identity to the following orthologs: Mouse - 88%, Rat - 86%.
Specifications
Specifications
| Antigen | REPS2 |
| Applications | Immunohistochemistry (Paraffin) |
| Classification | Polyclonal |
| Concentration | 0.1 mg/mL |
| Conjugate | Unconjugated |
| Formulation | PBS with 40% glycerol and 0.02% sodium azide; pH 7.2 |
| Gene | REPS2 |
| Gene Accession No. | Q8NFH8 |
| Gene Alias | partner of Ral-binding protein 1; partner of RalBP1; POB1; RALBP1 associated Eps domain containing 2; RALBP1 associated Eps domain containing protein 2; ralBP1-associated Eps domain-containing protein 2; RalBP1-interacting protein 2; REPS2 |
| Gene Symbols | REPS2 |
| Show More |
By clicking Submit, you acknowledge that you may be contacted by Fisher Scientific in regards to the feedback you have provided in this form. We will not share your information for any other purposes. All contact information provided shall also be maintained in accordance with our Privacy Policy.