Promotional price valid on web orders only. Your contract pricing may differ. Interested in signing up for a dedicated account number?
Learn More

Reticulocalbin-1 Rabbit anti-Human, Polyclonal, Bethyl Laboratories

Rabbit Polyclonal Antibody

Supplier:  Bethyl Laboratories, Inc A300407A

Encompass_Preferred

Catalog No. 50-155-7552


May include imposed supplier surcharges.
Only null left
Add to Cart

Description

Description

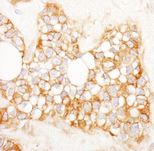
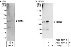
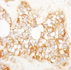
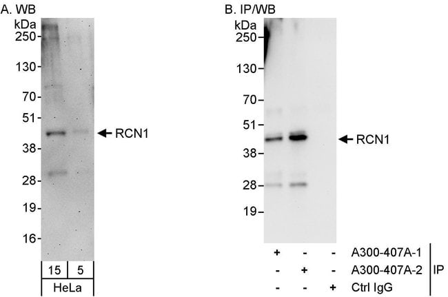
The recommended shelf life for this product is 1 year from date of receipt. Application Note: For IHC, epitope retrieval with citrate buffer pH 6.0 is recommended for FFPE tissue sections. Based on 100% sequence identity, this antibody is predicted to react with Mouse

Reticulocalbin 1 is a calcium-binding protein located in the lumen of the ER. The protein contains six conserved regions with similarity to a high affinity Ca(+2)-binding motif, the EF-hand. High conservation of amino acid residues outside of these motifs, in comparison to mouse reticulocalbin, is consistent with a possible biochemical function besides that of calcium binding. In human endothelial and prostate cancer cell lines this protein localizes to the plasma membrane.
Specifications

Specifications

Reticulocalbin-1
Polyclonal
Unconjugated
RCN1
epididymis secretory protein Li 84, FLJ37041, HEL-S-84, PIG20, proliferation-inducing gene 20, Rcal, RCN, reticulocalbin 1, EF-hand calcium binding domain
Rabbit
Antigen affinity chromatography
RUO
5954
4° C
Liquid
Immunohistochemistry, Immunoprecipitation, Western Blot
1 mg/ml
phosphate, tris citrate with 0.09% sodium azide; pH 7-8
Q15293
RCN1
Between 1 and 75
100 μL
Primary
Human
Antibody
IgG
Product Suggestions

Product Suggestions

Videos
SDS
Documents

Documents

Product Certifications
Promotions

Promotions

Product Content Correction

The Fisher Scientific Encompass Program offers items which are not part of our distribution portfolio. These products typically do not have pictures or detailed descriptions. However, we are committed to improving your shopping experience. Please use the form below to provide feedback related to the content on this product.

Product Title

By clicking Submit, you acknowledge that you may be contacted by Fisher Scientific in regards to the feedback you have provided in this form. We will not share your information for any other purposes. All contact information provided shall also be maintained in accordance with our Privacy Policy.

Your feedback has been submitted: Thank you for helping us improve our website.