Promotional price valid on web orders only. Your contract pricing may differ. Interested in signing up for a dedicated account number?
Learn More
Learn More
Retinal Dehydrogenase 1/ALDH1A1, Mouse anti-Human, Rat, Clone: 16B4.2, Millipore Sigma™
Mouse Monoclonal Antibody
Supplier: MilliporeSigma MABD63425UG
Description
Anti-Retinal Dehydrogenase 1/ALDH1A1, clone 16B4.2, Cat. No. MABD634, is a mouse monoclonal antibody that detects Retinal Dehydrogenase 1 and has been tested for use in Immunohistochemistry (Paraffin) and Western Blotting.
Retinal dehydrogenase 1 (UniProt: P00352; also known as EC: 1.2.1.36, RALDH 1, RalDH1, ALDH-E1, ALHDII, Aldehyde dehydrogenase family 1 member A1, Aldehyde dehydrogenase, cytosolic) is encoded by the ALDH1A (also known as ALDC, ALDH1, PUMB1) gene (Gene ID: 216) in human. Retinal dehydrogenase 1 is a ubiquitously distributed cytosolic enzyme that serves as a detoxification enzyme and also generates retinoic acid. It catalyzes the oxidation of retinal to retinoic acid that is essential for differentiation, development, and survival of dopaminergic neurons. It can also play a role in cellular defense against oxidative stress by oxidizing 4-hydroxynonenal (4-HNE) produced during lipid peroxidation. It is also involved in several other biological processes, such as stem cell maintenance, UV-radiation resistance, melanogenesis, and spermatogenesis, by catalyzing the conversion of specific aldehydes to their corresponding carboxylic acids. Retinal dehydrogenase 1 contains multiple NAD binding sites. (Ref.: Paval, D., et al. (2017). Clin. Psychopharmacol. Neurosci. 5(3); 229-236).
Specifications
Retinal Dehydrogenase 1/ALDH1A1 | |
Monoclonal | |
Unconjugated | |
Purified mouse monoclonal antibody IgG2b in buffer containing 0.1 M Tris-Glycine (pH 7.4), 150 mM NaCl with 0.05% sodium azide. | |
ALDH1A;ALDC;ALDH1;PUMB1 | |
KLH-conjugated linear peptide corresponding to 18 amino acids from the C-terminal region of human retinal dehydrogenase 1. | |
25 μg | |
Neuroscience | |
NP_000680 | |
Human, Rat | |
Purified |
Immunohistochemistry (Paraffin), Western Blot | |
16B4.2 | |
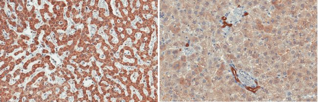
Immunohistochemistry (Paraffin) Analysis: A 1:50 dilution from a representative lot detected Retinal Dehydrogenase 1/ALDH1A1 in human liver and rat liver tissue sections. | |
Retinal dehydrogenase 1;EC: 1.2.1.36;RALDH 1;RalDH1;ALDH-E1;ALHDII;Aldehyde dehydrogenase family 1 member A1;Aldehyde dehydrogenase;cytosolic | |
Mouse | |
Protein G purified | |
RUO | |
Primary | |
Clone 16B4.2 detects Retinal dehydrogenase 1/ALDH1A1. it targets an epitope with in 18 ammo acids from the C-terminal region. | |
Stable for 1 year at 2-8°C from date of receipt. | |
IgG2b κ |
Product Content Correction
Your input is important to us. Please complete this form to provide feedback related to the content on this product.
Product Title
Spot an opportunity for improvement?Share a Content Correction