Promotional price valid on web orders only. Your contract pricing may differ. Interested in signing up for a dedicated account number?
Learn More
Learn More
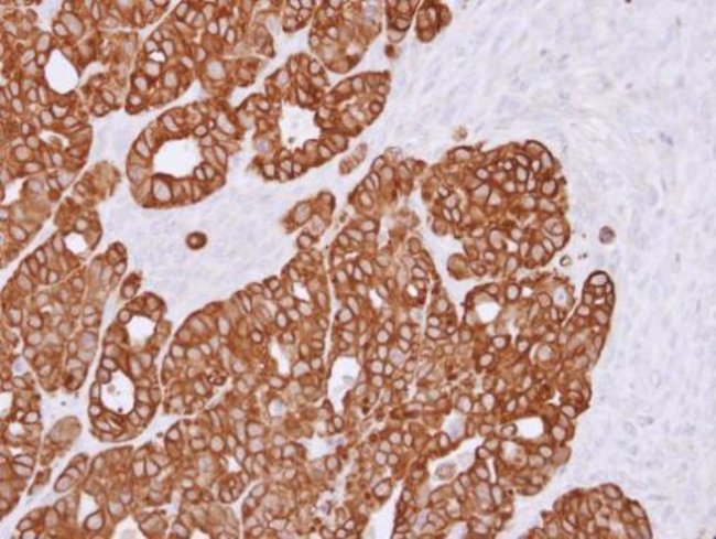
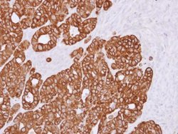
Invitrogen™ RGS11 Polyclonal Antibody

Rabbit Polyclonal Antibody
Supplier: Invitrogen™ PA529144
Description
Recommended positive controls: 293T, H1299, HeLaS3, Molt-4, Raji. Store product as a concentrated solution. Centrifuge briefly prior to opening the vial.
The protein encoded by this gene belongs to the RGS (regulator of G protein signaling) family. Members of the RGS family act as GTPase-activating proteins on the alpha subunits of heterotrimeric, signal-transducing G proteins. This protein inhibits signal transduction by increasing the GTPase activity of G protein alpha subunits, thereby driving them into their inactive GDP-bound form. Alternative splicing occurs at this locus and two transcript variants encoding distinct isoforms have been identified.
Specifications
| RGS11 | |
| Polyclonal | |
| Unconjugated | |
| RGS11 | |
| AC004754.2; C78048; regulator of G-protein signaling 11; regulator of G-protein signalling 11; RGS11; RS11 | |
| Rabbit | |
| Antigen affinity chromatography | |
| RUO | |
| 8786 | |
| Store at 4°C short term. For long term storage, store at -20°C, avoiding freeze/thaw cycles. | |
| Liquid |
| Immunohistochemistry (Paraffin), Western Blot, Immunocytochemistry | |
| 1 mg/mL | |
| 0.1M tris glycine with 10% glycerol and 0.01% thimerosal; pH 7 | |
| O94810 | |
| RGS11 | |
| Carrier-protein conjugated synthetic peptide encompassing a sequence within the center region of human RGS11. The exact sequence is proprietary. | |
| 100 μL | |
| Primary | |
| Human | |
| Antibody | |
| IgG |
Safety and Handling
WARNING: Cancer - www.P65Warnings.ca.gov
Product Content Correction
Your input is important to us. Please complete this form to provide feedback related to the content on this product.
Product Title
Spot an opportunity for improvement?Share a Content Correction