Promotional price valid on web orders only. Your contract pricing may differ. Interested in signing up for a dedicated account number?
Learn More
Learn More
RGSL1 Rabbit anti-Human, Mouse, Polyclonal, Proteintech

Rabbit Polyclonal Antibody
Supplier: Proteintech Group Inc 258361AP150UL
Specifications
| RGSL1 | |
| Polyclonal | |
| Unconjugated | |
| RGSL1 | |
| RGSL, RGSL1, RGSL2 | |
| Rabbit | |
| Antigen Affinity Chromatography | |
| RUO | |
| 240816, 353299 | |
| -20°C | |
| Liquid |
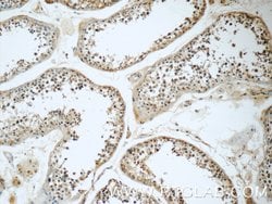
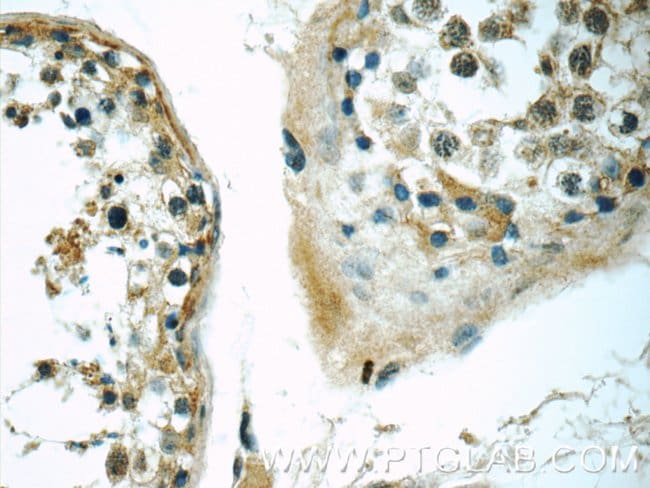
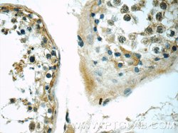
| Immunohistochemistry (Paraffin), Western Blot | |
| 0.22 mg/mL | |
| PBS with 50% glycerol and 0.1% sodium azide; pH 7.3 | |
| A5PLK6 | |
| RGSL1 | |
| RGSL1 Fusion Protein Ag20269 | |
| 150 μL | |
| Primary | |
| Human, Mouse | |
| Antibody | |
| IgG |
Product Content Correction
The Fisher Scientific Encompass Program offers items which are not part of our distribution portfolio. These products typically do not have pictures or detailed descriptions. However, we are committed to improving your shopping experience. Please use the form below to provide feedback related to the content on this product.
Product Title
Spot an opportunity for improvement?Share a Content Correction