Learn More
Invitrogen™ RhoA/RhoB/RhoC Monoclonal Antibody (1A11-4G10)

Description
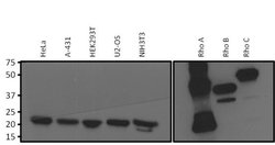
Western blot analysis of MA1-011 detects an ~20 kDa protein and shows reactivity to RhoA, RhoB, and RhoC.
Specifications
Specifications
| Antigen | RhoA/RhoB/RhoC |
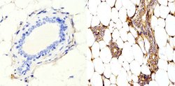
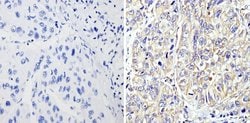
| Applications | Immunohistochemistry (Paraffin), Immunoprecipitation, Western Blot, Immunocytochemistry |
| Classification | Monoclonal |
| Clone | 1A11-4G10 |
| Concentration | 1 mg/mL |
| Conjugate | Unconjugated |
| Formulation | PBS with 1mg/mL BSA, 30% glycerol and 0.05% sodium azide |
| Gene | RHOC |
| Gene Accession No. | P08134, P61586, P61589, P62745, P62746, P62747, Q62159, Q9QUI0 |
| Gene Alias | AA017882; AI324259; Aplysia ras-related homolog 12; Aplysia RAS-related homolog 6; aplysia ras-related homolog 9 (RhoC); aplysia ras-related homolog A; aplysia ras-related homolog A1; aplysia ras-related homolog A2; aplysia ras-related homolog B; ARH12; ARH6; Arh9; ARHA; Arha1; Arha2; ARHB; Arhc; h12; h6; h9; MST081; MSTP081; oncogene RHO H12; oncogene RHO H6; oncogene RHO H9; plysia ras-related homolog A2; Ras family member A; ras homolog 9 (RhoC); ras homolog A1; ras homolog A2; ras homolog B; ras homolog family member A; ras homolog family member B; ras homolog family member C; ras homolog gene family, member A; ras homolog gene family, member A1; ras homolog gene family, member A2; ras homolog gene family, member AB; ras homolog gene family, member B; ras homolog gene family, member C; RAS-related homolog 9; Rho; Rho cDNA clone 12; Rho cDNA clone 6; rho cDNA clone 9; Rho family GTPase; RHO12; Rhoa; Rhob; Rhoc; rhoC GTPase; RHOH12; RHOH6; RHOH9; rho-related GTP-binding protein RhoB; Rho-related GTP-binding protein RhoC; SIG-61; silica-induced gene 61 protein; small GTP binding protein RhoA; small GTP binding protein RhoC; transforming protein RhoA |
| Show More |
By clicking Submit, you acknowledge that you may be contacted by Fisher Scientific in regards to the feedback you have provided in this form. We will not share your information for any other purposes. All contact information provided shall also be maintained in accordance with our Privacy Policy.