Learn More
RhoG Polyclonal Antibody

Description
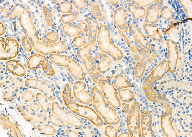
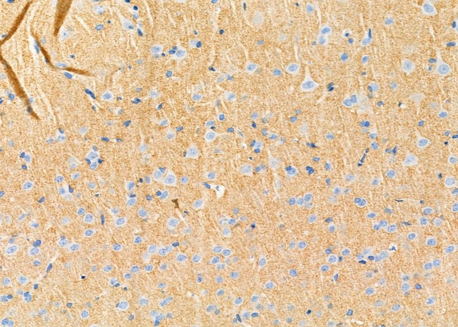
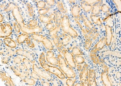
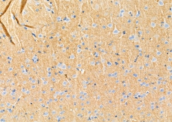
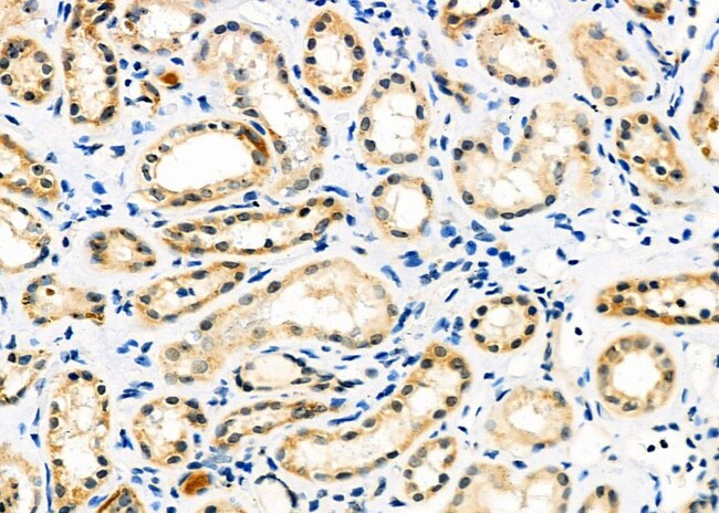
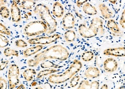
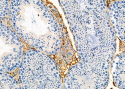
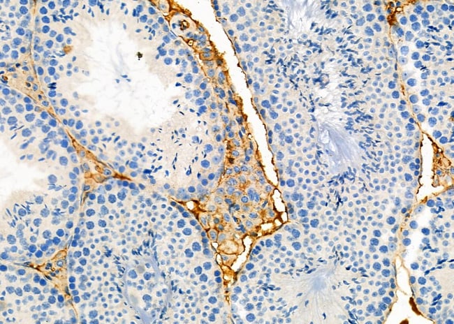
RhoG Polyclonal Antibody for Western Blot, ICC/IF, IHC (P)
Specifications
Specifications
| Antigen | RhoG |
| Applications | Immunohistochemistry (Paraffin), Western Blot, Immunocytochemistry |
| Classification | Polyclonal |
| Concentration | 1 mg/mL |
| Conjugate | Unconjugated |
| Formulation | PBS with 50% glycerol and 0.02% sodium azide; pH 7.4 |
| Gene | RHOG |
| Gene Accession No. | P84095, P84096 |
| Gene Alias | 2810426G09Rik; aplysia ras-related homolog G (RhoG); Arhg; ras homolog family member G; ras homolog G (RhoG); ras homolog gene family, member G; ras homolog gene family, member G (rho G); Rho G; Rhog; rho-related GTP-binding protein RhoG; Sid 10750; Sid10750 |
| Gene Symbols | RHOG |
| Show More |
By clicking Submit, you acknowledge that you may be contacted by Fisher Scientific in regards to the feedback you have provided in this form. We will not share your information for any other purposes. All contact information provided shall also be maintained in accordance with our Privacy Policy.